产品描述:Rabbit polyclonal antibody to BUB1免疫原:Recombinant full length protein of human BUB1纯化方式:The antibody was purified by immunogen affinity chromatography.克隆类型:Polyclonal产品形式:Liquid in 0.42% Potassium phosphate, 0.87% Sodium chloride, pH 7.3, 30% glycerol, and 0.01% sodium azide.稀释比:WB (1/500 - 1/2000), IH (1/50 - 1/200)基因名称:BUB1相关名称:BUB1L; Mitotic checkpoint serine/threonine-protein kinase BUB1; hBUB1; BUB1A
基因编号(人):
699;
基因编号(小鼠):
12235;
蛋白编号(人):
O43683;
蛋白编号(小鼠):
O08901;
储存效期:Shipped at 4°C. Upon delivery aliquot and store at -20°C for one year. Avoid freeze/thaw cycles.
-
Western blot analysis of BUB1 expression in HepG2 (A), MCF7 (B), Hela (C), mouse testis (D) whole cell lysates. (Predicted band size: 115; 120; 122 kD; Observed band size: 133 kD) -
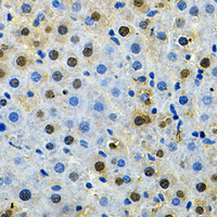
Immunohistochemical analysis of BUB1 staining in rat liver formalin fixed paraffin embedded tissue section. The section was pre-treated using heat mediated antigen retrieval with sodium citrate buffer (pH 6.0). The section was then incubated with the antibody at room temperature and detected using an HRP conjugated compact polymer system. DAB was used as the chromogen. The section was then counterstained with haematoxylin and mounted with DPX.


说明书
MSDS