产品描述:Rabbit polyclonal antibody to Ah Receptor免疫原:Recombinant full length protein of human Ah Receptor纯化方式:The antibody was purified by immunogen affinity chromatography.克隆类型:Polyclonal产品形式:Liquid in 0.42% Potassium phosphate, 0.87% Sodium chloride, pH 7.3, 30% glycerol, and 0.01% sodium azide.稀释比:WB (1/500 - 1/2000), IH (1/50 - 1/200)基因名称:AHR相关名称:BHLHE76; Aryl hydrocarbon receptor; Ah receptor; AhR; Class E basic helix-loop-helix protein 76; bHLHe76
基因编号(人):
196;
基因编号(小鼠):
11622;
基因编号(大鼠):
25690;
蛋白编号(人):
P35869;
蛋白编号(小鼠):
P30561;
蛋白编号(大鼠):
P41738;
储存效期:Shipped at 4°C. Upon delivery aliquot and store at -20°C for one year. Avoid freeze/thaw cycles.
-
Western blot analysis of Ah Receptor expression in HepG2 (A), SW480 (B), mouse liver (C), rat liver (D) whole cell lysates. (Predicted band size: 96 kD; Observed band size: 100 kD) -
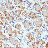
Immunohistochemical analysis of Ah Receptor staining in human stomach formalin fixed paraffin embedded tissue section. The section was pre-treated using heat mediated antigen retrieval with sodium citrate buffer (pH 6.0). The section was then incubated with the antibody at room temperature and detected using an HRP conjugated compact polymer system. DAB was used as the chromogen. The section was then counterstained with haematoxylin and mounted with DPX.
Combination of Coptis chinensis polysaccharides and berberine ameliorates ulcerative colitis by regulating gut microbiota and activating AhR/IL-22 pathway
Combination of Coptis chinensis polysaccharides and berberine ameliorates ulcerative colitis by regulating gut microbiota and activating AhR/IL-22 pathway


说明书
MSDS