产品描述:Rabbit polyclonal antibody to PDPK1 (Phospho-S241)免疫原:KLH-conjugated synthetic phosphopeptide corresponding to residues surrounding S241 of human PDPK1 protein. The exact sequence is proprietary.纯化方式:The antibody was purified by immunogen affinity chromatography.克隆类型:Polyclonal产品形式:Liquid in 0.42% Potassium phosphate, 0.87% Sodium chloride, pH 7.3, 30% glycerol, and 0.01% sodium azide.稀释比:WB (1/500 - 1/1000), IH (1/50 - 1/100)基因名称:PDPK1相关名称:PDK1; 3-phosphoinositide-dependent protein kinase 1; hPDK1
基因编号(人):
5170;
基因编号(小鼠):
18607;
基因编号(大鼠):
81745;
蛋白编号(人):
O15530;
蛋白编号(小鼠):
Q9Z2A0;
蛋白编号(大鼠):
O55173;
储存效期:Shipped at 4°C. Upon delivery aliquot and store at -20°C for one year. Avoid freeze/thaw cycles.
-
Western blot analysis of PDPK1 (Phospho-S241) expression in mouse liver (A), mouse lung (B), rat liver (C) whole cell lysates. (Predicted band size: 63 kD; Observed band size: 63 kD) -
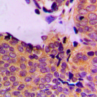
Immunohistochemical analysis of PDPK1 (Phospho-S241) staining in human breast cancer formalin fixed paraffin embedded tissue section. The section was pre-treated using heat mediated antigen retrieval with sodium citrate buffer (pH 6.0). The section was then incubated with the antibody at room temperature and detected using an HRP conjugated compact polymer system. DAB was used as the chromogen. The section was then counterstained with haematoxylin and mounted with DPX.
Lkb1 deficiency causes prostate neoplasia in the mouse
A reduction in Pten tumor suppressor activity promotes ErbB-2-induced mouse prostate adenocarcinoma formation through the activation of signaling cascades downstream of PDK1
Small-molecule inhibitors of phosphatidylinositol 3-kinase/Akt signaling inhibit Wnt/beta-catenin pathway cross-talk and suppress medulloblastoma growth


说明书
MSDS