产品描述:Rabbit polyclonal antibody to PDGFR alpha免疫原:KLH-conjugated synthetic peptide encompassing a sequence within the C-term region of human PDGFR alpha. The exact sequence is proprietary.纯化方式:The antibody was purified by immunogen affinity chromatography.克隆类型:Polyclonal产品形式:Liquid in 0.42% Potassium phosphate, 0.87% Sodium chloride, pH 7.3, 30% glycerol, and 0.01% sodium azide.稀释比:WB (1/500 - 1/1000), IH (1/50 - 1/100), IF/IC (1/50 - 1/200)基因名称:PDGFRA相关名称:PDGFR2; RHEPDGFRA; Platelet-derived growth factor receptor alpha; PDGF-R-alpha; PDGFR-alpha; Alpha platelet-derived growth factor receptor; Alpha-type platelet-derived growth factor receptor; CD140 antigen-like family member A; CD140a antigen; Platelet-derived growth factor alpha receptor; Platelet-derived growth factor receptor 2; PDGFR-2; CD140a
基因编号(人):
5156;
基因编号(小鼠):
18595;
基因编号(大鼠):
25267;
蛋白编号(人):
P16234;
蛋白编号(小鼠):
P26618;
蛋白编号(大鼠):
P20786;
储存效期:Shipped at 4°C. Upon delivery aliquot and store at -20°C for one year. Avoid freeze/thaw cycles.
-
Western blot analysis of PDGFR alpha expression in C6 (A) whole cell lysates. (Predicted band size: 122 kD; Observed band size: 190 kD) -
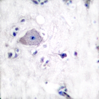
Immunohistochemical analysis of PDGFR alpha staining in human brain formalin fixed paraffin embedded tissue section. The section was pre-treated using heat mediated antigen retrieval with sodium citrate buffer (pH 6.0). The section was then incubated with the antibody at room temperature and detected using an HRP conjugated compact polymer system. DAB was used as the chromogen. The section was then counterstained with haematoxylin and mounted with DPX. -
Immunofluorescent analysis of PDGFR alpha staining in NIH3T3 cells. Formalin-fixed cells were permeabilized with 0.1% Triton X-100 in TBS for 5-10 minutes and blocked with 3% BSA-PBS for 30 minutes at room temperature. Cells were probed with the primary antibody in 3% BSA-PBS and incubated overnight at 4 °C in a humidified chamber. Cells were washed with PBST and incubated with a DyLight 594-conjugated secondary antibody (red) in PBS at room temperature in the dark. DAPI was used to stain the cell nuclei (blue).
Urinary trypsin inhibitor suppresses migration of malignant mesothelioma
Identification of candidate surface antigens for non-invasive prenatal diagnosis by comparative global gene expression on human fetal mesenchymal stem cells
MicroRNA expression profiling of oligodendrocyte differentiation from human embryonic stem cells
Distribution and possible role of PDGF-AA and PDGFR-alpha in the gastrointestinal tract of adult guinea pigs
PDGF-a stimulates intestinal epithelial cell turnover after massive small bowel resection in a rat
PDGF Receptor-a Does Not Promote HCMV Entry into Epithelial and Endothelial Cells but Increased Quantities Stimulate Entry by an Abnormal Pathway
Cells derived from the coelomic epithelium contribute to multiple gastrointestinal tissues in mouse embryos
The effect of bioengineered acellular collagen patch on cardiac remodeling and ventricular function post myocardial infarction
Tyrosine kinase receptors as molecular targets in pheochromocytomas and paragangliomas
IL-6 secreted by cancer-associated fibroblasts induces tamoxifen resistance in luminal breast cancer
Identification of a transient Sox5 expressing progenitor population in the neonatal ventral forebrain by a novel cis-regulatory element
Disruption of rat testis development following combined in utero exposure to the phytoestrogen genistein and antiandrogenic plasticizer di-(2-ethylhexyl) phthalate
Telocytes in liver regeneration: possible roles


说明书
MSDS