产品描述:Rabbit polyclonal antibody to PCNA免疫原:KLH-conjugated synthetic peptide encompassing a sequence within the center region of human PCNA. The exact sequence is proprietary.纯化方式:The antibody was purified by immunogen affinity chromatography.克隆类型:Polyclonal产品形式:Liquid in 0.42% Potassium phosphate, 0.87% Sodium chloride, pH 7.3, 30% glycerol, and 0.01% sodium azide.稀释比:WB (1/500 - 1/1000), IH (1/100 - 1/200)基因名称:PCNA相关名称:Proliferating cell nuclear antigen; PCNA; Cyclin
基因编号(人):
5111;
基因编号(小鼠):
18538;
基因编号(大鼠):
25737;
蛋白编号(人):
P12004;
蛋白编号(小鼠):
P17918;
蛋白编号(大鼠):
P04961;
储存效期:Shipped at 4°C. Upon delivery aliquot and store at -20°C for one year. Avoid freeze/thaw cycles.
-
Western blot analysis of PCNA expression in H9C2 (A), 3T3L1 (B), HEK293T (C), A549 (D), HCT116 (E) whole cell lysates. (Predicted band size: 28 kD; Observed band size: 36 kD) -
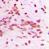
Immunohistochemical analysis of PCNA staining in human breast cancer formalin fixed paraffin embedded tissue section. The section was pre-treated using heat mediated antigen retrieval with sodium citrate buffer (pH 6.0). The section was then incubated with the antibody at room temperature and detected using an HRP conjugated compact polymer system. DAB was used as the chromogen. The section was then counterstained with haematoxylin and mounted with DPX. -
Western blot analysis of PCNA expression in wild type (WT) and knockdown (KD) HeLa cell lysates.
Paracrine interactions between primary human macrophages and human fibroblasts enhance murine mammary gland humanization in vivo
Chromodomain helicase DNA-binding domain 2 maintains spermatogonial self-renewal by promoting chromatin accessibility and mRNA stability
GRPR down-regulation inhibits spermatogenesis through Ca2+ mediated by PLCβ/IP3R signaling pathway in long-term formaldehyde-exposed rats
Enhanced glutathione production protects against zearalenone-induced oxidative stress and ferroptosis in female reproductive system
Protein Kinase CK2 Promotes Proliferation, Abnormal Differentiation, and Proinflammatory Cytokine Production of Keratinocytes via Regulation of STAT3 and Akt Pathways in Psoriasis
NR2C2 of macrophages promotes inflammation via NF-κB in LPS-induced orchitis in mice
Lnc-THAP7-AS1 suppresses the ovarian cancer progression by targeting miR-92b-5p/fatty acid 2-hydroxylase signal axis


说明书
MSDS