产品描述:Rabbit polyclonal antibody to NOTCH2免疫原:KLH-conjugated synthetic peptide encompassing a sequence within the center region of human NOTCH2. The exact sequence is proprietary.纯化方式:The antibody was purified by immunogen affinity chromatography.克隆类型:Polyclonal产品形式:Liquid in 0.42% Potassium phosphate, 0.87% Sodium chloride, pH 7.3, 30% glycerol, and 0.01% sodium azide.稀释比:WB (1/500 - 1/1000), IH (1/100 - 1/200)基因名称:NOTCH2相关名称:Neurogenic locus notch homolog protein 2; Notch 2; hN2
基因编号(人):
4853;
基因编号(大鼠):
29492;
蛋白编号(人):
Q04721;
蛋白编号(大鼠):
Q9QW30;
储存效期:Shipped at 4°C. Upon delivery aliquot and store at -20°C for one year. Avoid freeze/thaw cycles.
-
Western blot analysis of NOTCH2 expression in HEK293T (A), HepG2 (B) whole cell lysates. (Predicted band size: 265 kD; Observed band size: 110 kD) -
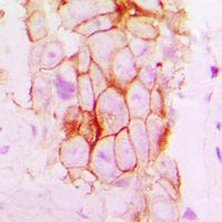
Immunohistochemical analysis of NOTCH2 staining in human breast cancer formalin fixed paraffin embedded tissue section. The section was pre-treated using heat mediated antigen retrieval with sodium citrate buffer (pH 6.0). The section was then incubated with the antibody at room temperature and detected using an HRP conjugated compact polymer system. DAB was used as the chromogen. The section was then counterstained with haematoxylin and mounted with DPX.
Effects of liquiritigenin treatment on the learning and memory deficits induced by amyloid beta-peptide (25-35) in rats
Expression of Notch receptors, ligands, and target genes during development of the mouse mammary gland
Notch signaling regulates mouse and human th17 differentiation
ERK inhibition enhances TSA-induced gastric cancer cell apoptosis via NF-?B-dependent and Notch-independent mechanism
Mutations in the NOTCH pathway regulator MIB1 cause left ventricular noncompaction cardiomyopathy
Notch signaling in osteocytes differentially regulates cancellous and cortical bone remodeling
Impaired JNK signaling cooperates with KrasG12D expression to accelerate pancreatic ductal adenocarcinoma
Skp1-Cullin-F-box (SCF)-type ubiquitin ligase FBXW7 negatively regulates spermatogonial stem cell self-renewal


说明书
MSDS