产品描述:Rabbit polyclonal antibody to c-Myc (Phospho-S62)免疫原:KLH-conjugated synthetic phosphopeptide corresponding to residues surrounding S62 of human c-Myc protein. The exact sequence is proprietary.纯化方式:The antibody was purified by immunogen affinity chromatography.克隆类型:Polyclonal产品形式:Liquid in 0.42% Potassium phosphate, 0.87% Sodium chloride, pH 7.3, 30% glycerol, and 0.01% sodium azide.稀释比:WB (1/500 - 1/1000), IH (1/100 - 1/200), IF/IC (1/100 - 1/500)基因名称:MYC相关名称:BHLHE39; Myc proto-oncogene protein; Class E basic helix-loop-helix protein 39; bHLHe39; Proto-oncogene c-Myc; Transcription factor p64
基因编号(人):
4609;
基因编号(小鼠):
17869;
蛋白编号(人):
P01106;
蛋白编号(小鼠):
P01108;
储存效期:Shipped at 4°C. Upon delivery aliquot and store at -20°C for one year. Avoid freeze/thaw cycles.
-
Western blot analysis of c-Myc (Phospho-S62) expression in A431 (A), HeLa (B), Jurkat (C) whole cell lysates. (Predicted band size: 48 kD; Observed band size: 57 kD) -
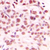
Immunohistochemical analysis of c-Myc (Phospho-S62) staining in human breast cancer formalin fixed paraffin embedded tissue section. The section was pre-treated using heat mediated antigen retrieval with sodium citrate buffer (pH 6.0). The section was then incubated with the antibody at room temperature and detected using an HRP conjugated compact polymer system. DAB was used as the chromogen. The section was then counterstained with haematoxylin and mounted with DPX. -
Immunofluorescent analysis of c-Myc (Phospho-S62) staining in HeLa cells. Formalin-fixed cells were permeabilized with 0.1% Triton X-100 in TBS for 5-10 minutes and blocked with 3% BSA-PBS for 30 minutes at room temperature. Cells were probed with the primary antibody in 3% BSA-PBS and incubated overnight at 4 °C in a humidified chamber. Cells were washed with PBST and incubated with a DyLight 594-conjugated secondary antibody (red) in PBS at room temperature in the dark.
Cdk5-mediated Phosphorylation of c-Myc on Ser-62 Is Essential in Transcriptional Activation of Cyclin B1 by Cyclin G1
Pim kinase-dependent inhibition of c-Myc degradation
Pim1 kinase synergizes with c-MYC to induce advanced prostate carcinoma
ERK activation drives intestinal tumorigenesis in Apc(min/+) mice
Cancerous inhibitor of PP2A (CIP2A) at diagnosis of chronic myeloid leukemia is a critical determinant of disease progression
SET oncoprotein overexpression in B-cell chronic lymphocytic leukemia and non-Hodgkin lymphoma: a predictor of aggressive disease and a new treatment target
CDK8 maintains tumor dedifferentiation and embryonic stem cell pluripotency
Systems-pharmacology dissection of a drug synergy in imatinib-resistant CML
RNAi screen identifies a synthetic lethal interaction between PIM1 overexpression and PLK1 inhibition


说明书
MSDS