产品描述:Rabbit polyclonal antibody to MCL1免疫原:KLH-conjugated synthetic peptide encompassing a sequence within the center region of human MCL1. The exact sequence is proprietary.纯化方式:The antibody was purified by immunogen affinity chromatography.克隆类型:Polyclonal产品形式:Liquid in 0.42% Potassium phosphate, 0.87% Sodium chloride, pH 7.3, 30% glycerol, and 0.01% sodium azide.稀释比:WB (1/500 - 1/1000), IH (1/100 - 1/200)基因名称:MCL1相关名称:BCL2L3; Induced myeloid leukemia cell differentiation protein Mcl-1; Bcl-2-like protein 3; Bcl2-L-3; Bcl-2-related protein EAT/mcl1; mcl1/EAT
基因编号(人):
4170;
蛋白编号(人):
Q07820;
储存效期:Shipped at 4°C. Upon delivery aliquot and store at -20°C for one year. Avoid freeze/thaw cycles.
-
Western blot analysis of MCL1 expression in Ramos (A), JAR (B), K562 (C), Jurkat (D), Raji (E), HeLa (F) whole cell lysates. (Predicted band size: 37 kD; Observed band size: 40 kD) -
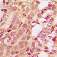
Immunohistochemical analysis of MCL1 staining in human tonsil formalin fixed paraffin embedded tissue section. The section was pre-treated using heat mediated antigen retrieval with sodium citrate buffer (pH 6.0). The section was then incubated with the antibody at room temperature and detected using an HRP conjugated compact polymer system. DAB was used as the chromogen. The section was then counterstained with haematoxylin and mounted with DPX.
Preapoptotic cell stress response of primary hepatocytes
Regulation of serum response factor activity and smooth muscle cell apoptosis by chromodomain helicase DNA-binding protein 8


说明书
MSDS