产品描述:Rabbit polyclonal antibody to GCC2免疫原:Recombinant fusion protein of human GCC2. The exact sequence is proprietary.纯化方式:The antibody was purified by immunogen affinity chromatography.克隆类型:Polyclonal产品形式:Liquid in 0.42% Potassium phosphate, 0.87% Sodium chloride, pH 7.3, 30% glycerol, and 0.01% sodium azide.稀释比:WB (1/500 - 1/2000), IH (1/50 - 1/200)基因名称:GCC2相关名称:KIAA0336; RANBP2L4; GRIP and coiled-coil domain-containing protein 2; 185 kDa Golgi coiled-coil protein; GCC185; CLL-associated antigen KW-11; CTCL tumor antigen se1-1; Ran-binding protein 2-like 4; RanBP2L4; Renal carcinoma antigen NY-REN-53
基因编号(人):
9648;
蛋白编号(人):
Q8IWJ2;
蛋白编号(小鼠):
Q8CHG3;
储存效期:Shipped at 4°C. Upon delivery aliquot and store at -20°C for one year. Avoid freeze/thaw cycles.
-
Western blot analysis of GCC2 expression in Raji (A), HEK293T (B) whole cell lysates. (Predicted band size: 5; 195 kD; Observed band size: 196 kD) -
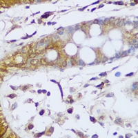
Immunohistochemical analysis of GCC2 staining in human colon formalin fixed paraffin embedded tissue section. The section was pre-treated using heat mediated antigen retrieval with sodium citrate buffer (pH 6.0). The section was then incubated with the antibody at room temperature and detected using an HRP conjugated compact polymer system. DAB was used as the chromogen. The section was then counterstained with haematoxylin and mounted with DPX.


说明书
MSDS