产品描述:Rabbit polyclonal antibody to CASC5免疫原:Recombinant fusion protein of human CASC5. The exact sequence is proprietary.纯化方式:The antibody was purified by immunogen affinity chromatography.克隆类型:Polyclonal产品形式:Liquid in 0.42% Potassium phosphate, 0.87% Sodium chloride, pH 7.3, 30% glycerol, and 0.01% sodium azide.稀释比:WB (1/500 - 1/2000), IH (1/50 - 1/200), IF/IC (1/50 - 1/200)基因名称:CASC5相关名称:KIAA1570; KNL1; Protein CASC5; ALL1-fused gene from chromosome 15q14 protein; AF15q14; Bub-linking kinetochore protein; Blinkin; Cancer susceptibility candidate gene 5 protein; Cancer/testis antigen 29; CT29; Kinetochore-null protein 1; Protein D40/AF15q14
基因编号(人):
57082;
蛋白编号(人):
Q8NG31;
储存效期:Shipped at 4°C. Upon delivery aliquot and store at -20°C for one year. Avoid freeze/thaw cycles.
-
Western blot analysis of CASC5 expression in U87MG (A), HeLa (B) whole cell lysates. (Predicted band size: 195; 205; 262; 265 kD; Observed band size: 300 kD) -
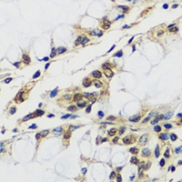
Immunohistochemical analysis of CASC5 staining in human colon formalin fixed paraffin embedded tissue section. The section was pre-treated using heat mediated antigen retrieval with sodium citrate buffer (pH 6.0). The section was then incubated with the antibody at room temperature and detected using an HRP conjugated compact polymer system. DAB was used as the chromogen. The section was then counterstained with haematoxylin and mounted with DPX.


说明书
MSDS