产品描述:Rabbit polyclonal antibody to KIR3DS1免疫原:Recombinant full length protein of human KIR3DS1纯化方式:The antibody was purified by immunogen affinity chromatography.克隆类型:Polyclonal产品形式:Liquid in 0.42% Potassium phosphate, 0.87% Sodium chloride, pH 7.3, 30% glycerol, and 0.01% sodium azide.稀释比:WB (1/500 - 1/2000), IH (1/50 - 1/200)基因名称:KIR3DS1相关名称:NKAT10; Killer cell immunoglobulin-like receptor 3DS1; MHC class I NK cell receptor; Natural killer-associated transcript 10; NKAT-10
基因编号(人):
3813;
蛋白编号(人):
Q14943;
储存效期:Shipped at 4°C. Upon delivery aliquot and store at -20°C for one year. Avoid freeze/thaw cycles.
-
Western blot analysis of KIR3DS1 expression in Jurkat (A), A549 (B), mouse liver (C), rat liver (D) whole cell lysates. (Predicted band size: 42 kD; Observed band size: 60 kD) -
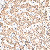
Immunohistochemical analysis of KIR3DS1 staining in human liver formalin fixed paraffin embedded tissue section. The section was pre-treated using heat mediated antigen retrieval with sodium citrate buffer (pH 6.0). The section was then incubated with the antibody at room temperature and detected using an HRP conjugated compact polymer system. DAB was used as the chromogen. The section was then counterstained with haematoxylin and mounted with DPX.


说明书
MSDS