产品描述:Rabbit polyclonal antibody to HFM1免疫原:Recombinant full length protein of human HFM1纯化方式:The antibody was purified by immunogen affinity chromatography.克隆类型:Polyclonal产品形式:Liquid in 0.42% Potassium phosphate, 0.87% Sodium chloride, pH 7.3, 30% glycerol, and 0.01% sodium azide.稀释比:WB (1/500 - 1/2000), IH (1/50 - 1/200)基因名称:HFM1相关名称:SEC3D1; Probable ATP-dependent DNA helicase HFM1; SEC63 domain-containing protein 1
基因编号(人):
164045;
蛋白编号(人):
A2PYH4;
储存效期:Shipped at 4°C. Upon delivery aliquot and store at -20°C for one year. Avoid freeze/thaw cycles.
-
Western blot analysis of HFM1 expression in K562 (A) whole cell lysates. (Predicted band size: 62; 162 kD; Observed band size: 130 kD) -
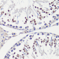
Immunohistochemical analysis of HFM1 staining in rat testis formalin fixed paraffin embedded tissue section. The section was pre-treated using heat mediated antigen retrieval with sodium citrate buffer (pH 6.0). The section was then incubated with the antibody at room temperature and detected using an HRP conjugated compact polymer system. DAB was used as the chromogen. The section was then counterstained with haematoxylin and mounted with DPX.


说明书
MSDS