产品描述:Rabbit polyclonal antibody to MLL5免疫原:Recombinant full length protein of human MLL5纯化方式:The antibody was purified by immunogen affinity chromatography.克隆类型:Polyclonal产品形式:Liquid in 0.42% Potassium phosphate, 0.87% Sodium chloride, pH 7.3, 30% glycerol, and 0.01% sodium azide.稀释比:WB (1/500 - 1/2000), IH (1/50 - 1/200), IF/IC (1/50 - 1/200), IP (1/20 - 1/50)基因名称:KMT2E相关名称:MLL5; Histone-lysine N-methyltransferase 2E; Lysine N-methyltransferase 2E; Myeloid/lymphoid or mixed-lineage leukemia protein 5
基因编号(人):
55904;
基因编号(小鼠):
69188;
蛋白编号(人):
Q8IZD2;
蛋白编号(小鼠):
Q3UG20;
储存效期:Shipped at 4°C. Upon delivery aliquot and store at -20°C for one year. Avoid freeze/thaw cycles.
-
Western blot analysis of MLL5 expression in MCF7 (A), Hela (B), mouse lung (C), mouse brain (D) whole cell lysates. (Predicted band size: 68; 98; 131; 180-204 kD; Observed band size: 100 kD) -
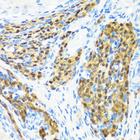
Immunohistochemical analysis of MLL5 staining in rat ovary formalin fixed paraffin embedded tissue section. The section was pre-treated using heat mediated antigen retrieval with sodium citrate buffer (pH 6.0). The section was then incubated with the antibody at room temperature and detected using an HRP conjugated compact polymer system. DAB was used as the chromogen. The section was then counterstained with haematoxylin and mounted with DPX. -
Immunofluorescent analysis of MLL5 staining in U2OS cells. Formalin-fixed cells were permeabilized with 0.1% Triton X-100 in TBS for 5-10 minutes and blocked with 3% BSA-PBS for 30 minutes at room temperature. Cells were probed with the primary antibody in 3% BSA-PBS and incubated overnight at 4 °C in a humidified chamber. Cells were washed with PBST and incubated with a DyLight 594-conjugated secondary antibody (red) in PBS at room temperature in the dark.


说明书
MSDS