产品描述:Rabbit polyclonal antibody to POLR2B免疫原:Recombinant full length protein of human POLR2B纯化方式:The antibody was purified by immunogen affinity chromatography.克隆类型:Polyclonal产品形式:Liquid in 0.42% Potassium phosphate, 0.87% Sodium chloride, pH 7.3, 30% glycerol, and 0.01% sodium azide.稀释比:WB (1/500 - 1/2000), IH (1/50 - 1/200)基因名称:POLR2B相关名称:DNA-directed RNA polymerase II subunit RPB2; DNA-directed RNA polymerase II 140 kDa polypeptide; DNA-directed RNA polymerase II subunit B; RNA polymerase II subunit 2; RNA polymerase II subunit B2
基因编号(人):
5431;
基因编号(小鼠):
231329;
蛋白编号(人):
P30876;
蛋白编号(小鼠):
Q8CFI7;
储存效期:Shipped at 4°C. Upon delivery aliquot and store at -20°C for one year. Avoid freeze/thaw cycles.
-
Western blot analysis of POLR2B expression in SHSY5Y (A), HepG2 (B), mouse brain (C), rat ovary (D) whole cell lysates. (Predicted band size: 133 kD; Observed band size: 134 kD) -
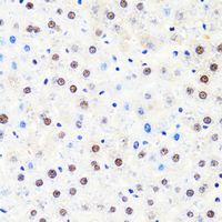
Immunohistochemical analysis of POLR2B staining in rat liver formalin fixed paraffin embedded tissue section. The section was pre-treated using heat mediated antigen retrieval with sodium citrate buffer (pH 6.0). The section was then incubated with the antibody at room temperature and detected using an HRP conjugated compact polymer system. DAB was used as the chromogen. The section was then counterstained with haematoxylin and mounted with DPX.


说明书
MSDS