产品描述:Rabbit polyclonal antibody to PSTPIP1免疫原:Recombinant full length protein of human PSTPIP1纯化方式:The antibody was purified by immunogen affinity chromatography.克隆类型:Polyclonal产品形式:Liquid in 0.42% Potassium phosphate, 0.87% Sodium chloride, pH 7.3, 30% glycerol, and 0.01% sodium azide.稀释比:WB (1/500 - 1/2000), IH (1/50 - 1/200)基因名称:PSTPIP1相关名称:CD2BP1; Proline-serine-threonine phosphatase-interacting protein 1; PEST phosphatase-interacting protein 1; CD2-binding protein 1; H-PIP
基因编号(人):
9051;
蛋白编号(人):
O43586;
储存效期:Shipped at 4°C. Upon delivery aliquot and store at -20°C for one year. Avoid freeze/thaw cycles.
-
Western blot analysis of PSTPIP1 expression in THP1 (A), mouse spleen (B), mouse brain (C), rat brain (D) whole cell lysates. (Predicted band size: 45; 47 kD; Observed band size: 48 kD) -
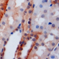
Immunohistochemical analysis of PSTPIP1 staining in mouse kidney formalin fixed paraffin embedded tissue section. The section was pre-treated using heat mediated antigen retrieval with sodium citrate buffer (pH 6.0). The section was then incubated with the antibody at room temperature and detected using an HRP conjugated compact polymer system. DAB was used as the chromogen. The section was then counterstained with haematoxylin and mounted with DPX.


说明书
MSDS