产品描述:Mouse monoclonal antibody to CD99免疫原:KLH-conjugated synthetic peptide encompassing a sequence within human CD99. The exact sequence is proprietary.纯化方式:The antibody was purified by immunogen affinity chromatography.克隆类型:Monoclonal产品形式:Mouse IgG. Liquid in PBS containing 50% glycerol, 0.2% BSA and 0.01% sodium azide.稀释比:IH (1/100 - 1/300)基因名称:CD99相关名称:MIC2; MIC2X; MIC2Y; CD99 antigen; 12E7; E2 antigen; Protein MIC2; T-cell surface glycoprotein E2; CD99
基因编号(人):
4267;
蛋白编号(人):
P14209;
储存效期:Shipped at 4°C. Upon delivery aliquot and store at -20°C for one year. Avoid freeze/thaw cycles.
-
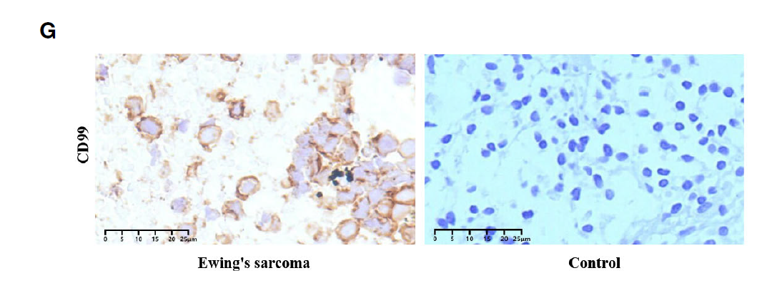
Immunohistochemical analysis of CD99 staining in human ewing's sarcoma formalin fixed paraffin embedded tissue section. The section was pre-treated using heat mediated antigen retrieval with sodium citrate buffer (pH 6.0). The section was then incubated with the antibody at room temperature and detected using an HRP conjugated compact polymer system. DAB was used as the chromogen. The section was then counterstained with haematoxylin and mounted with DPX.
Identification and validation of a novel ubiquitination-related gene UBE2T in Ewing's sarcoma


说明书
MSDS