产品描述:Rabbit polyclonal antibody to CHK2免疫原:KLH-conjugated synthetic peptide encompassing a sequence within the N-term region of human CHK2. The exact sequence is proprietary.纯化方式:The antibody was purified by immunogen affinity chromatography.克隆类型:Polyclonal产品形式:Liquid in 0.42% Potassium phosphate, 0.87% Sodium chloride, pH 7.3, 30% glycerol, and 0.01% sodium azide.稀释比:WB (1/500 - 1/1000), IH (1/100 - 1/200), IF/IC (1/100 - 1/500)基因名称:CHEK2相关名称:CDS1; CHK2; RAD53; Serine/threonine-protein kinase Chk2; CHK2 checkpoint homolog; Cds1 homolog; Hucds1; hCds1; Checkpoint kinase 2
基因编号(人):
11200;
蛋白编号(人):
O96017;
储存效期:Shipped at 4°C. Upon delivery aliquot and store at -20°C for one year. Avoid freeze/thaw cycles.
-
Western blot analysis of CHK2 expression in Jurkat (A), HL60 (B), HT29 (C) whole cell lysates. (Predicted band size: 60 kD; Observed band size: 62 kD) -
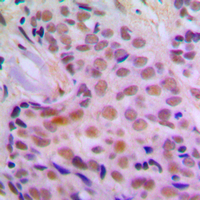
Immunohistochemical analysis of CHK2 staining in human breast cancer formalin fixed paraffin embedded tissue section. The section was pre-treated using heat mediated antigen retrieval with sodium citrate buffer (pH 6.0). The section was then incubated with the antibody at room temperature and detected using an HRP conjugated compact polymer system. DAB was used as the chromogen. The section was then counterstained with haematoxylin and mounted with DPX. -
Immunofluorescent analysis of CHK2 staining in HL60 cells. Formalin-fixed cells were permeabilized with 0.1% Triton X-100 in TBS for 5-10 minutes and blocked with 3% BSA-PBS for 30 minutes at room temperature. Cells were probed with the primary antibody in 3% BSA-PBS and incubated overnight at 4 °C in a humidified chamber. Cells were washed with PBST and incubated with a DyLight 594-conjugated secondary antibody (red) in PBS at room temperature in the dark.
Mechanism of genomic instability in cells infected with the high-risk human papillomaviruses
ShRNA-Targeted Centromere Protein A Inhibits Hepatocellular Carcinoma Growth
BRCA2 Protein Deficiency Exaggerates Doxorubicin-induced Cardiomyocyte Apoptosis and Cardiac Failure


说明书
MSDS