产品描述:Rabbit polyclonal antibody to Histone Deacetylase 5 (Phospho-S498)免疫原:KLH-conjugated synthetic phosphopeptide corresponding to residues surrounding S498 of human Histone Deacetylase 5 protein. The exact sequence is proprietary.纯化方式:The antibody was purified by immunogen affinity chromatography.克隆类型:Polyclonal产品形式:Liquid in 0.42% Potassium phosphate, 0.87% Sodium chloride, pH 7.3, 30% glycerol, and 0.01% sodium azide.稀释比:WB (1/500 - 1/1000), IH (1/100 - 1/200), IF/IC (1/100 - 1/500)基因名称:HDAC5相关名称:KIAA0600; Histone deacetylase 5; HD5; Antigen NY-CO-9
基因编号(人):
10014;
蛋白编号(人):
Q9UQL6;
蛋白编号(小鼠):
Q9Z2V6;
储存效期:Shipped at 4°C. Upon delivery aliquot and store at -20°C for one year. Avoid freeze/thaw cycles.
-
Western blot analysis of Histone Deacetylase 5 (Phospho-S498) expression in HEK293T LPS-treated (A), Raw264.7 TNFa-treated (B), rat kidney (C) whole cell lysates. (Predicted band size: 121 kD; Observed band size: 124 kD) -
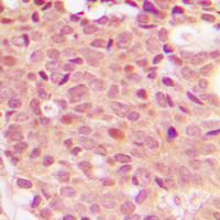
Immunohistochemical analysis of Histone Deacetylase 5 (Phospho-S498) staining in human breast cancer formalin fixed paraffin embedded tissue section. The section was pre-treated using heat mediated antigen retrieval with sodium citrate buffer (pH 6.0). The section was then incubated with the antibody at room temperature and detected using an HRP conjugated compact polymer system. DAB was used as the chromogen. The section was then counterstained with haematoxylin and mounted with DPX. -
Immunofluorescent analysis of Histone Deacetylase 5 (Phospho-S498) staining in Raw264.7 cells. Formalin-fixed cells were permeabilized with 0.1% Triton X-100 in TBS for 5-10 minutes and blocked with 3% BSA-PBS for 30 minutes at room temperature. Cells were probed with the primary antibody in 3% BSA-PBS and incubated overnight at 4 °C in a humidified chamber. Cells were washed with PBST and incubated with a DyLight 594-conjugated secondary antibody (red) in PBS at room temperature in the dark.
Loss of the Ca2+/calmodulin-dependent protein kinase type IV in dopaminoceptive neurons enhances behavioral effects of cocaine
A novel kinase inhibitor establishes a predominant role for protein kinase D as a cardiac class IIa histone deacetylase kinase
Regulation by phosphodiesterase isoforms of protein kinase A-mediated attenuation of myocardial protein kinase D activation
Heterogeneous myocyte enhancer factor-2 (Mef2) activation in myocytes predicts focal scarring in hypertrophic cardiomyopathy
AMP-activated protein kinase regulates beta-catenin transcription via histone deacetylase 5
Sirtuin 1 (SIRT1) Deacetylase Activity Is Not Required for Mitochondrial Biogenesis or Peroxisome Proliferator-activated Receptor-{gamma} Coactivator-1{alpha} (PGC-1{alpha}) Deacetylation following Endurance Exercise


说明书
MSDS