产品描述:Rabbit polyclonal antibody to N4BP1免疫原:KLH-conjugated synthetic peptide encompassing a sequence within the center region of human N4BP1. The exact sequence is proprietary.纯化方式:The antibody was purified by immunogen affinity chromatography.克隆类型:Polyclonal产品形式:Liquid in 0.42% Potassium phosphate, 0.87% Sodium chloride, pH 7.3, 30% glycerol, and 0.01% sodium azide.稀释比:WB (1/500 - 1/1000), IH (1/100 - 1/200), IP (1/10 - 1/100)基因名称:N4BP1相关名称:KIAA0615; NEDD4-binding protein 1; N4BP1
基因编号(人):
9683;
基因编号(小鼠):
80750;
蛋白编号(人):
O75113;
蛋白编号(小鼠):
Q6A037;
储存效期:Shipped at 4°C. Upon delivery aliquot and store at -20°C for one year. Avoid freeze/thaw cycles.
-
Western blot analysis of N4BP1 expression in AML12 (A), PC12 (B), HEK293T (C), A549 (D), A2780 (E) whole cell lysates. (Predicted band size: 100 kD; Observed band size: 100 kD) -
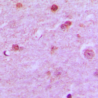
Immunohistochemical analysis of N4BP1 staining in human brain formalin fixed paraffin embedded tissue section. The section was pre-treated using heat mediated antigen retrieval with sodium citrate buffer (pH 6.0). The section was then incubated with the antibody at room temperature and detected using an HRP conjugated compact polymer system. DAB was used as the chromogen. The section was then counterstained with haematoxylin and mounted with DPX.
Lys-63-linked Ubiquitination by E3 Ubiquitin Ligase Nedd4-1 Facilitates Endosomal Sequestration of Internalized a-Synuclein
A virus-packageable CRISPR screen identifies host factors mediating interferon inhibition of HIV


说明书
MSDS