产品描述:Rabbit polyclonal antibody to GTF3C3免疫原:KLH-conjugated synthetic peptide encompassing a sequence within the N-term region of human GTF3C3. The exact sequence is proprietary.纯化方式:The antibody was purified by immunogen affinity chromatography.克隆类型:Polyclonal产品形式:Liquid in 0.42% Potassium phosphate, 0.87% Sodium chloride, pH 7.3, 30% glycerol, and 0.01% sodium azide.稀释比:WB (1/500 - 1/1000), IH (1/100 - 1/200)基因名称:GTF3C3相关名称:General transcription factor 3C polypeptide 3; Transcription factor IIIC 102 kDa subunit; TFIIIC 102 kDa subunit; TFIIIC102; Transcription factor IIIC subunit gamma; TF3C-gamma
基因编号(人):
9330;
蛋白编号(人):
Q9Y5Q9;
储存效期:Shipped at 4°C. Upon delivery aliquot and store at -20°C for one year. Avoid freeze/thaw cycles.
-
Western blot analysis of GTF3C3 expression in HEK293T (A), H446 (B), A549 (C) whole cell lysates. (Predicted band size: 101 kD; Observed band size: 102 kD) -
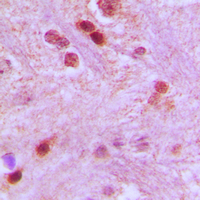
Immunohistochemical analysis of GTF3C3 staining in human brain formalin fixed paraffin embedded tissue section. The section was pre-treated using heat mediated antigen retrieval with sodium citrate buffer (pH 6.0). The section was then incubated with the antibody at room temperature and detected using an HRP conjugated compact polymer system. DAB was used as the chromogen. The section was then counterstained with haematoxylin and mounted with DPX.


说明书
MSDS