产品描述:Rabbit polyclonal antibody to Claudin 2免疫原:KLH-conjugated synthetic peptide encompassing a sequence within the C-term region of human Claudin 2. The exact sequence is proprietary.纯化方式:The antibody was purified by immunogen affinity chromatography.克隆类型:Polyclonal产品形式:Liquid in 0.42% Potassium phosphate, 0.87% Sodium chloride, pH 7.3, 30% glycerol, and 0.01% sodium azide.稀释比:WB (1/500 - 1/1000), IH (1/100 - 1/200), IF/IC (1/100 - 1/500)基因名称:CLDN2相关名称:Claudin-2; SP82
基因编号(人):
9075;
基因编号(小鼠):
12738;
蛋白编号(人):
P57739;
蛋白编号(小鼠):
O88552;
储存效期:Shipped at 4°C. Upon delivery aliquot and store at -20°C for one year. Avoid freeze/thaw cycles.
-
Western blot analysis of Claudin 2 expression in AML12 (A) whole cell lysates. (Predicted band size: 24 kD; Observed band size: 24 kD) -
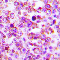
Immunohistochemical analysis of Claudin 2 staining in human tonsil formalin fixed paraffin embedded tissue section. The section was pre-treated using heat mediated antigen retrieval with sodium citrate buffer (pH 6.0). The section was then incubated with the antibody at room temperature and detected using an HRP conjugated compact polymer system. DAB was used as the chromogen. The section was then counterstained with haematoxylin and mounted with DPX. -
Immunofluorescent analysis of Claudin 2 staining in A431 cells. Formalin-fixed cells were permeabilized with 0.1% Triton X-100 in TBS for 5-10 minutes and blocked with 3% BSA-PBS for 30 minutes at room temperature. Cells were probed with the primary antibody in 3% BSA-PBS and incubated overnight at 4 °C in a humidified chamber. Cells were washed with PBST and incubated with a DyLight 594-conjugated secondary antibody (red) in PBS at room temperature in the dark. DAPI was used to stain the cell nuclei (blue).
Recipient NK cell inactivation and intestinal barrier loss are required for MHC-matched graft-versus-host disease


说明书
MSDS