产品描述:Rabbit polyclonal antibody to URI1免疫原:KLH-conjugated synthetic peptide encompassing a sequence within the C-term region of human URI1. The exact sequence is proprietary.纯化方式:The antibody was purified by immunogen affinity chromatography.克隆类型:Polyclonal产品形式:Liquid in 0.42% Potassium phosphate, 0.87% Sodium chloride, pH 7.3, 30% glycerol, and 0.01% sodium azide.稀释比:WB (1/500 - 1/1000), IH (1/50 - 1/100)基因名称:URI1相关名称:C19orf2; NNX3; PPP1R19; RMP; URI; Unconventional prefoldin RPB5 interactor 1; Protein NNX3; Protein phosphatase 1 regulatory subunit 19; RNA polymerase II subunit 5-mediating protein; RPB5-mediating protein
基因编号(人):
8725;
基因编号(小鼠):
19777;
蛋白编号(人):
O94763;
蛋白编号(小鼠):
Q3TLD5;
储存效期:Shipped at 4°C. Upon delivery aliquot and store at -20°C for one year. Avoid freeze/thaw cycles.
-
Western blot analysis of URI1 expression in mouse brain (A), rat stomach (B), PC3 (C), SP20 (D), H9C2 (E) whole cell lysates. (Predicted band size: 59; 56; 51; 53 kD; Observed band size: 64; 52 kD) -
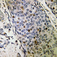
Immunohistochemical analysis of URI1 staining in human breast cancer formalin fixed paraffin embedded tissue section. The section was pre-treated using heat mediated antigen retrieval with sodium citrate buffer (pH 6.0). The section was then incubated with the antibody at room temperature and detected using an HRP conjugated compact polymer system. DAB was used as the chromogen. The section was then counterstained with haematoxylin and mounted with DPX.


说明书
MSDS