产品描述:Rabbit polyclonal antibody to p63免疫原:KLH-conjugated synthetic peptide encompassing a sequence within the C-term region of human p63. The exact sequence is proprietary.纯化方式:The antibody was purified by immunogen affinity chromatography.克隆类型:Polyclonal产品形式:Liquid in 0.42% Potassium phosphate, 0.87% Sodium chloride, pH 7.3, 30% glycerol, and 0.01% sodium azide.稀释比:WB (1/500 - 1/1000), IH (1/100 - 1/200), IF/IC (1/100 - 1/500)基因名称:TP63相关名称:KET; P63; P73H; P73L; TP73L; Tumor protein 63; p63; Chronic ulcerative stomatitis protein; CUSP; Keratinocyte transcription factor KET; Transformation-related protein 63; TP63; Tumor protein p73-like; p73L; p40; p51
基因编号(人):
8626;
基因编号(小鼠):
22061;
基因编号(大鼠):
246334;
蛋白编号(人):
Q9H3D4;
蛋白编号(小鼠):
O88898;
蛋白编号(大鼠):
Q9JJP6;
储存效期:Shipped at 4°C. Upon delivery aliquot and store at -20°C for one year. Avoid freeze/thaw cycles.
-
Western blot analysis of p63 expression in A549 (A), HCT116 (B), COLO205 (C), LOVO (D), HT29 (E) whole cell lysates. (Predicted band size: 76 kD; Observed band size: 63; 51 kD) -
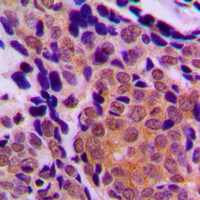
Immunohistochemical analysis of p63 staining in human breast cancer formalin fixed paraffin embedded tissue section. The section was pre-treated using heat mediated antigen retrieval with sodium citrate buffer (pH 6.0). The section was then incubated with the antibody at room temperature and detected using an HRP conjugated compact polymer system. DAB was used as the chromogen. The section was then counterstained with haematoxylin and mounted with DPX. -
Immunofluorescent analysis of p63 staining in A549 cells. Formalin-fixed cells were permeabilized with 0.1% Triton X-100 in TBS for 5-10 minutes and blocked with 3% BSA-PBS for 30 minutes at room temperature. Cells were probed with the primary antibody in 3% BSA-PBS and incubated overnight at 4 °C in a humidified chamber. Cells were washed with PBST and incubated with a DyLight 594-conjugated secondary antibody (red) in PBS at room temperature in the dark.
CD44posCD49fhiCD133/2hi defines xenograft-initiating cells in estrogen receptor-negative breast cancer
Morphogenesis of the developing mammary gland: stage-dependent impact of adipocytes
Altered REDD1, myostatin, and Akt/mTOR/FoxO/MAPK signaling in streptozotocin-induced diabetic muscle atrophy
Interaction of the oncogenic miR-21 microRNA and the p53 tumor suppressor pathway
p63 attenuates epithelial to mesenchymal potential in an experimental prostate cell model
Transcriptional profiling of epidermal barrier formation in vitro
Adipose-derived stem cell to epithelial stem cell transdifferentiation: a mechanism to potentially improve understanding of fat grafting's impact on skin rejuvenation
Sp6 and Sp8 Transcription Factors Control AER Formation and Dorsal-Ventral Patterning in Limb Development


说明书
MSDS