产品描述:Rabbit polyclonal antibody to 14-3-3 zeta免疫原:KLH-conjugated synthetic peptide encompassing a sequence within the center region of human 14-3-3 zeta. The exact sequence is proprietary.纯化方式:The antibody was purified by immunogen affinity chromatography.克隆类型:Polyclonal产品形式:Liquid in 0.42% Potassium phosphate, 0.87% Sodium chloride, pH 7.3, 30% glycerol, and 0.01% sodium azide.稀释比:WB (1/500 - 1/1000), IH (1/100 - 1/200), IF/IC (1/100 - 1/500), IP (1/10 - 1/100)基因名称:YWHAZ相关名称:14-3-3 protein zeta/delta; Protein kinase C inhibitor protein 1; KCIP-1
基因编号(人):
7534;
基因编号(小鼠):
22631;
基因编号(大鼠):
25578;
蛋白编号(人):
P63104;
蛋白编号(小鼠):
P63101;
蛋白编号(大鼠):
P63102;
储存效期:Shipped at 4°C. Upon delivery aliquot and store at -20°C for one year. Avoid freeze/thaw cycles.
-
Western blot analysis of 14-3-3 zeta expression in Hela (A), mouse lung (B), mouse liver (C), rat lung (D), rat lung (E) whole cell lysates. (Predicted band size: 27 kD; Observed band size: 28 kD) -
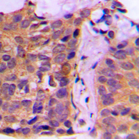
Immunohistochemical analysis of 14-3-3 zeta staining in human breast cancer formalin fixed paraffin embedded tissue section. The section was pre-treated using heat mediated antigen retrieval with sodium citrate buffer (pH 6.0). The section was then incubated with the antibody at room temperature and detected using an HRP conjugated compact polymer system. DAB was used as the chromogen. The section was then counterstained with haematoxylin and mounted with DPX. -
Immunofluorescent analysis of 14-3-3 zeta staining in HeLa cells. Formalin-fixed cells were permeabilized with 0.1% Triton X-100 in TBS for 5-10 minutes and blocked with 3% BSA-PBS for 30 minutes at room temperature. Cells were probed with the primary antibody in 3% BSA-PBS and incubated overnight at 4 °C in a humidified chamber. Cells were washed with PBST and incubated with a DyLight 594-conjugated secondary antibody (red) in PBS at room temperature in the dark. DAPI was used to stain the cell nuclei (blue).
Proteomic analysis reveals late exercise effects on cardiac remodeling following myocardial infarction
Frontal-Subcortical Protein Expression following Prenatal Exposure to Maternal Inflammation
Synaptic protein expression is regulated by a pro-oxidant diet in APPxPS1 mice
17ß-estradiol prevents reduction of retinal phosphorylated 14-3-3 zeta protein levels following a neurotoxic insult
Contribution of fetal ANXA5 gene promoter polymorphisms to the onset of pre-eclampsia
A unique four-hub protein cluster associates to glioblastoma progression


说明书
MSDS