产品描述:Rabbit polyclonal antibody to Ezrin (Phospho-T567)免疫原:KLH-conjugated synthetic phosphopeptide corresponding to residues surrounding T567 of human Ezrin protein. The exact sequence is proprietary.纯化方式:The antibody was purified by immunogen affinity chromatography.克隆类型:Polyclonal产品形式:Liquid in 0.42% Potassium phosphate, 0.87% Sodium chloride, pH 7.3, 30% glycerol, and 0.01% sodium azide.稀释比:WB (1/500 - 1/1000), IH (1/100 - 1/200), IP (1/10 - 1/100)基因名称:EZR相关名称:VIL2; Ezrin; Cytovillin; Villin-2; p81
基因编号(人):
7430;
基因编号(小鼠):
22350;
基因编号(大鼠):
54319;
蛋白编号(人):
P15311;
蛋白编号(小鼠):
P26040;
蛋白编号(大鼠):
P31977;
储存效期:Shipped at 4°C. Upon delivery aliquot and store at -20°C for one year. Avoid freeze/thaw cycles.
-
Western blot analysis of Ezrin (Phospho-T567) expression in HeLa (A), A431 (B), SHSY5Y (C) whole cell lysates. (Predicted band size: 69 kD; Observed band size: 80 kD) -
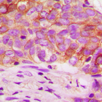
Immunohistochemical analysis of Ezrin (Phospho-T567) staining in human breast cancer formalin fixed paraffin embedded tissue section. The section was pre-treated using heat mediated antigen retrieval with sodium citrate buffer (pH 6.0). The section was then incubated with the antibody at room temperature and detected using an HRP conjugated compact polymer system. DAB was used as the chromogen. The section was then counterstained with haematoxylin and mounted with DPX.
The calcineurin homologous protein-1 increases Na(+)/H(+) -exchanger 3 trafficking via ezrin phosphorylation
Akt/Ezrin Tyr353/NF-?B pathway regulates EGF-induced EMT and metastasis in tongue squamous cell carcinoma
Increased phosphorylation of ezrin is associated with the migration and invasion of fibroblast-like synoviocytes from patients with rheumatoid arthritis


说明书
MSDS