产品描述:Rabbit polyclonal antibody to Tyrosinase免疫原:KLH-conjugated synthetic peptide encompassing a sequence within the C-term region of human Tyrosinase. The exact sequence is proprietary.纯化方式:The antibody was purified by immunogen affinity chromatography.克隆类型:Polyclonal产品形式:Liquid in 0.42% Potassium phosphate, 0.87% Sodium chloride, pH 7.3, 30% glycerol, and 0.01% sodium azide.稀释比:WB (1/500 - 1/1000), IH (1/100 - 1/200), IF/IC (1/100 - 1/500)基因名称:TYR相关名称:Tyrosinase; LB24-AB; Monophenol monooxygenase; SK29-AB; Tumor rejection antigen AB
基因编号(人):
7299;
蛋白编号(人):
P14679;
储存效期:Shipped at 4°C. Upon delivery aliquot and store at -20°C for one year. Avoid freeze/thaw cycles.
-
Western blot analysis of Tyrosinase expression in A375 (A), Podocyte (B), Beas2B (C), PMVEC (D), BV2 (E) whole cell lysates. (Predicted band size: 60 kD; Observed band size: 70 kD) -
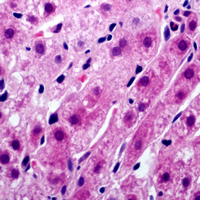
Immunohistochemical analysis of Tyrosinase staining in human liver formalin fixed paraffin embedded tissue section. The section was pre-treated using heat mediated antigen retrieval with sodium citrate buffer (pH 6.0). The section was then incubated with the antibody at room temperature and detected using an HRP conjugated compact polymer system. AEC was used as the chromogen. The section was then counterstained with haematoxylin and mounted with DPX. -
Immunofluorescent analysis of Tyrosinase staining in HepG2 cells. Formalin-fixed cells were permeabilized with 0.1% Triton X-100 in TBS for 5-10 minutes and blocked with 3% BSA-PBS for 30 minutes at room temperature. Cells were probed with the primary antibody in 3% BSA-PBS and incubated overnight at 4 °C in a humidified chamber. Cells were washed with PBST and incubated with a DyLight 594-conjugated secondary antibody (red) in PBS at room temperature in the dark. DAPI was used to stain the cell nuclei (blue).
Endocannabinoids stimulate human melanogenesis via type-1 cannabinoid receptor
Integrative pharmacology reveals the mechanisms of Erzhi pills, A traditional Chinese formulation, stimulating melanogenesis


说明书
MSDS