产品描述:Rabbit polyclonal antibody to p53免疫原:KLH-conjugated synthetic peptide encompassing a sequence within the N-term region of human p53. The exact sequence is proprietary.纯化方式:The antibody was purified by immunogen affinity chromatography.克隆类型:Polyclonal产品形式:Liquid in 0.42% Potassium phosphate, 0.87% Sodium chloride, pH 7.3, 30% glycerol, and 0.01% sodium azide.稀释比:WB (1/500 - 1/1000), IH (1/100 - 1/200), IF/IC (1/100 - 1/500)基因名称:TP53相关名称:P53; Cellular tumor antigen p53; Antigen NY-CO-13; Phosphoprotein p53; Tumor suppressor p53
基因编号(人):
7157;
基因编号(小鼠):
22059;
基因编号(大鼠):
24842;
蛋白编号(人):
P04637;
蛋白编号(小鼠):
P02340;
蛋白编号(大鼠):
P10361;
储存效期:Shipped at 4°C. Upon delivery aliquot and store at -20°C for one year. Avoid freeze/thaw cycles.
-
Western blot analysis of p53 expression in C6 (A), CT26 (B), MCF7 (C), LOVO (D), COS7 (E), HEK293T (F), HCT116 (G) whole cell lysates. (Predicted band size: 43 kD; Observed band size: 53 kD) -
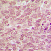
Immunohistochemical analysis of p53 staining in human breast cancer formalin fixed paraffin embedded tissue section. The section was pre-treated using heat mediated antigen retrieval with sodium citrate buffer (pH 6.0). The section was then incubated with the antibody at room temperature and detected using an HRP conjugated compact polymer system. DAB was used as the chromogen. The section was then counterstained with haematoxylin and mounted with DPX. -
Immunofluorescent analysis of p53 staining in HeLa cells. Formalin-fixed cells were permeabilized with 0.1% Triton X-100 in TBS for 5-10 minutes and blocked with 3% BSA-PBS for 30 minutes at room temperature. Cells were probed with the primary antibody in 3% BSA-PBS and incubated overnight at 4 °C in a humidified chamber. Cells were washed with PBST and incubated with a DyLight 594-conjugated secondary antibody (red) in PBS at room temperature in the dark.
Suppression of colitis in mice by Cl-amidine: a novel peptidylarginine deiminase inhibitor
Estradiol partially recapitulates murine pituitary cell cycle response to pregnancy
Clusterin and FOXL2 act concordantly to regulate pituitary gonadotroph adenoma growth
The E3 ubiquitin ligase STUB1 attenuates cell senescence by promoting the ubiquitination and degradation of the core circadian regulator BMAL1
Searching for novel MDM2/MDMX dual inhibitors through a drug repurposing approach
Sanggenol L induces ferroptosis in non-small cell lung cancer cells via regulating the miR-26a-1-3p/MDM2/p53 signaling pathway
Targeting tumor metabolism: The dual attack of emodin on glycolysis and oxidative phosphorylation in esophageal squamous cell carcinoma


说明书
MSDS