产品描述:Rabbit polyclonal antibody to Claudin 5免疫原:KLH-conjugated synthetic peptide encompassing a sequence within the C-term region of human Claudin 5. The exact sequence is proprietary.纯化方式:The antibody was purified by immunogen affinity chromatography.克隆类型:Polyclonal产品形式:Liquid in 0.42% Potassium phosphate, 0.87% Sodium chloride, pH 7.3, 30% glycerol, and 0.01% sodium azide.稀释比:WB (1/500 - 1/1000), IH (1/100 - 1/200), IF/IC (1/100 - 1/500)基因名称:CLDN5相关名称:AWAL; TMVCF; Claudin-5; Transmembrane protein deleted in VCFS; TMDVCF
基因编号(人):
7122;
基因编号(小鼠):
12741;
基因编号(大鼠):
65131;
蛋白编号(人):
O00501;
蛋白编号(小鼠):
O54942;
蛋白编号(大鼠):
Q9JKD6;
储存效期:Shipped at 4°C. Upon delivery aliquot and store at -20°C for one year. Avoid freeze/thaw cycles.
-
Western blot analysis of Claudin 5 expression in mouse kidney (A), rat lung (B) whole cell lysates. (Predicted band size: 23 kD; Observed band size: 19 kD) -
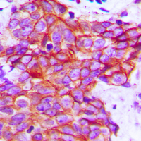
Immunohistochemical analysis of Claudin 5 staining in human breast cancer formalin fixed paraffin embedded tissue section. The section was pre-treated using heat mediated antigen retrieval with sodium citrate buffer (pH 6.0). The section was then incubated with the antibody at room temperature and detected using an HRP conjugated compact polymer system. DAB was used as the chromogen. The section was then counterstained with haematoxylin and mounted with DPX. -
Immunofluorescent analysis of Claudin 5 staining in HeLa cells. Formalin-fixed cells were permeabilized with 0.1% Triton X-100 in TBS for 5-10 minutes and blocked with 3% BSA-PBS for 30 minutes at room temperature. Cells were probed with the primary antibody in 3% BSA-PBS and incubated overnight at 4 °C in a humidified chamber. Cells were washed with PBST and incubated with a DyLight 594-conjugated secondary antibody (red) in PBS at room temperature in the dark. DAPI was used to stain the cell nuclei (blue).
Progesterone and allopregnanolone attenuate blood-brain barrier dysfunction following permanent focal ischemia by regulating the expression of matrix metalloproteinases
Placenta Growth Factor-1 Exerts Time-Dependent Stabilization of Adherens Junctions Following VEGF-Induced Vascular Permeability
Telomerase-based immortalization modifies the angiogenic/inflammatory responses of human coronary artery endothelial cells
PEDF Regulates Vascular Permeability by a Secretase-Mediated Pathway
ANGPTL4 modulates vascular junction integrity by integrin signaling and disruption of intercellular VE-cadherin and claudin-5 clusters
Free Insulin-like Growth Factor Binding Protein-3 (IGFBP-3) Reduces Retinal Vascular Permeability in Association with a Reduction of Acid Sphingomyelinase (ASMase)
Cerebellar axon/myelin loss, angiogenic sprouting, and neuronal increase of vascular endothelial growth factor in a preterm infant with kernicterus
Monocyte chemoattractant protein-1-deficiency results in altered blood-brain barrier breakdown after experimental stroke
New Autopsy Findings in Different Brain Regions of a Preterm Neonate With Kernicterus: Neurovascular Alterations and Up-regulation of Efflux Transporters
Blood-brain barrier impairment in MPS III patients
Obesity in Aging Exacerbates Blood-Brain Barrier Disruption, Neuroinflammation, and Oxidative Stress in the Mouse Hippocampus: Effects on Expression of Genes Involved in Beta-Amyloid Generation and Alzheimer's Disease
A novel blood-brain barrier co-culture system for drug targeting of Alzheimer's disease: establishment by using acitretin as a model drug
Oligodendrocyte precursor cells support blood-brain barrier integrity via TGF-ß signaling


说明书
MSDS