产品描述:Rabbit polyclonal antibody to THRA免疫原:KLH-conjugated synthetic peptide encompassing a sequence within the N-term region of human THRA. The exact sequence is proprietary.纯化方式:The antibody was purified by immunogen affinity chromatography.克隆类型:Polyclonal产品形式:Liquid in 0.42% Potassium phosphate, 0.87% Sodium chloride, pH 7.3, 30% glycerol, and 0.01% sodium azide.稀释比:WB (1/500 - 1/1000), IH (1/50 - 1/200), IF/IC (1/50 - 1/200)基因名称:THRA相关名称:EAR7; ERBA1; NR1A1; THRA1; THRA2; Thyroid hormone receptor alpha; Nuclear receptor subfamily 1 group A member 1; V-erbA-related protein 7; EAR-7; c-erbA-1; c-erbA-alpha
基因编号(人):
7067;
基因编号(小鼠):
21833;
基因编号(大鼠):
81812;
蛋白编号(人):
P10827;
蛋白编号(小鼠):
P63058;
蛋白编号(大鼠):
P63059;
储存效期:Shipped at 4°C. Upon delivery aliquot and store at -20°C for one year. Avoid freeze/thaw cycles.
-
Western blot analysis of THRA expression in mouse brain (A), rat brain (B) whole cell lysates. (Predicted band size: 54 kD; Observed band size: 55 kD) -
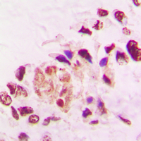
Immunohistochemical analysis of THRA staining in human lung cancer formalin fixed paraffin embedded tissue section. The section was pre-treated using heat mediated antigen retrieval with sodium citrate buffer (pH 6.0). The section was then incubated with the antibody at room temperature and detected using an HRP conjugated compact polymer system. DAB was used as the chromogen. The section was then counterstained with haematoxylin and mounted with DPX. -
Immunofluorescent analysis of THRA staining in MCF7 cells. Formalin-fixed cells were permeabilized with 0.1% Triton X-100 in TBS for 5-10 minutes and blocked with 3% BSA-PBS for 30 minutes at room temperature. Cells were probed with the primary antibody in 3% BSA-PBS and incubated overnight at 4 °C in a hidified chamber. Cells were washed with PBST and incubated with a AF488-conjugated secondary antibody (green) in PBS at room temperature in the dark. Phalloidin - AF594 was used to stain Actin filaments (red). DAPI was used to stain the cell nuclei (blue).
Maternal thyroid hormone before the onset of fetal thyroid function regulates Reelin and downstream signaling cascade affecting neocortical neuronal migration
Changes in gene expression of DOR and other thyroid hormone receptors in rat liver during acute-phase response
Cell-type-dependent thyroid hormone effects on glioma tumor cell lines
Cacnb4 directly couples electrical activity to gene expression, a process defective in juvenile epilepsy
Gene specific actions of thyroid hormone receptor subtypes
Thyroid hormone signalling is altered in response to physical training in patients with end-stage heart failure and mechanical assist devices: potential physiological consequences?


说明书
MSDS