产品描述:Rabbit polyclonal antibody to TGF beta 1免疫原:KLH-conjugated synthetic peptide encompassing a sequence within the C-term region of human TGF beta 1. The exact sequence is proprietary.纯化方式:The antibody was purified by immunogen affinity chromatography.克隆类型:Polyclonal产品形式:Liquid in 0.42% Potassium phosphate, 0.87% Sodium chloride, pH 7.3, 30% glycerol, and 0.01% sodium azide.稀释比:WB (1/500 - 1/1000), IH (1/50 - 1/100), IF/IC (1/50 - 1/200)基因名称:TGFB1相关名称:TGFB; Transforming growth factor beta-1; TGF-beta-1
基因编号(人):
7040;
基因编号(小鼠):
21803;
基因编号(大鼠):
59086;
蛋白编号(人):
P01137;
蛋白编号(小鼠):
P04202;
蛋白编号(大鼠):
P17246;
储存效期:Shipped at 4°C. Upon delivery aliquot and store at -20°C for one year. Avoid freeze/thaw cycles.
-
Western blot analysis of TGF beta 1 expression in Hela (A), Myla2059 (B), SGC7901 (C) whole cell lysates. (Predicted band size: 44 kD; Observed band size: 44 kD) -
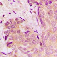
Immunohistochemical analysis of TGF beta 1 staining in human breast cancer formalin fixed paraffin embedded tissue section. The section was pre-treated using heat mediated antigen retrieval with sodium citrate buffer (pH 6.0). The section was then incubated with the antibody at room temperature and detected using an HRP conjugated compact polymer system. DAB was used as the chromogen. The section was then counterstained with haematoxylin and mounted with DPX. -
Immunofluorescent analysis of TGF beta 1 staining in MCF7 cells. Formalin-fixed cells were permeabilized with 0.1% Triton X-100 in TBS for 5-10 minutes and blocked with 3% BSA-PBS for 30 minutes at room temperature. Cells were probed with the primary antibody in 3% BSA-PBS and incubated overnight at 4 °C in a humidified chamber. Cells were washed with PBST and incubated with a DyLight 594-conjugated secondary antibody (red) in PBS at room temperature in the dark. DAPI was used to stain the cell nuclei (blue).
Mutations in SMAD3 cause a syndromic form of aortic aneurysms and dissections with early-onset osteoarthritis
Obesity- and aging-induced excess of central transforming growth factor-ß potentiates diabetic development via an RNA stress response
Unveiling IL-33/ST2 Pathway Unbalance in Cardiac Remodeling Due to Obesity in Zucker Fatty Rats
Protocatechuic aldehyde increases pericyte coverage and mitigates pericyte damage to enhance the atherosclerotic plaque stability
Bone mesenchymal stem cells attenuate hepatic stellate cell activation and liver fibrosis through REDD1/autophagy pathway


说明书
MSDS