产品描述:Rabbit polyclonal antibody to STAT3免疫原:KLH-conjugated synthetic peptide encompassing a sequence within the C-term region of human STAT3. The exact sequence is proprietary.纯化方式:The antibody was purified by immunogen affinity chromatography.克隆类型:Polyclonal产品形式:Liquid in 0.42% Potassium phosphate, 0.87% Sodium chloride, pH 7.3, 30% glycerol, and 0.01% sodium azide.稀释比:WB (1/500 - 1/1000), IH (1/100 - 1/200)基因名称:STAT3相关名称:APRF; Signal transducer and activator of transcription 3; Acute-phase response factor
基因编号(人):
6774;
基因编号(小鼠):
20848;
基因编号(大鼠):
25125;
蛋白编号(人):
P40763;
蛋白编号(小鼠):
P42227;
蛋白编号(大鼠):
P52631;
储存效期:Shipped at 4°C. Upon delivery aliquot and store at -20°C for one year. Avoid freeze/thaw cycles.
-
Western blot analysis of STAT3 expression in mouse pancreas (A), C6 (B), H9C2 (C), HepG2 (D), LO2 (E), Jurkat (F) whole cell lysates. (Predicted band size: 88 kD; Observed band size: 86 kD) -
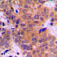
Immunohistochemical analysis of STAT3 staining in human breast cancer formalin fixed paraffin embedded tissue section. The section was pre-treated using heat mediated antigen retrieval with sodium citrate buffer (pH 6.0). The section was then incubated with the antibody at room temperature and detected using an HRP conjugated compact polymer system. DAB was used as the chromogen. The section was then counterstained with haematoxylin and mounted with DPX.
Melatonin suppresses AOM/DSS-induced large bowel oncogenesis in rats
Zi-Su-Zi decoction improves airway hyperresponsiveness in cough-variant asthma rat model through PI3K/AKT1/mTOR, JAK2/STAT3 and HIF-1α/NF-κB signaling pathways
Protein Kinase CK2 Promotes Proliferation, Abnormal Differentiation, and Proinflammatory Cytokine Production of Keratinocytes via Regulation of STAT3 and Akt Pathways in Psoriasis


说明书
MSDS