产品描述:Rabbit polyclonal antibody to SRF免疫原:KLH-conjugated synthetic peptide encompassing a sequence within the center region of human SRF. The exact sequence is proprietary.纯化方式:The antibody was purified by immunogen affinity chromatography.克隆类型:Polyclonal产品形式:Liquid in 0.42% Potassium phosphate, 0.87% Sodium chloride, pH 7.3, 30% glycerol, and 0.01% sodium azide.稀释比:WB (1/500 - 1/1000), IH (1/100 - 1/200)基因名称:SRF相关名称:Serum response factor; SRF
基因编号(人):
6722;
基因编号(小鼠):
20807;
蛋白编号(人):
P11831;
蛋白编号(小鼠):
Q9JM73;
储存效期:Shipped at 4°C. Upon delivery aliquot and store at -20°C for one year. Avoid freeze/thaw cycles.
-
Western blot analysis of SRF expression in NIH3T3 (A), mouse kidney (B), HCT116 (C), CaCO2 (D) whole cell lysates. (Predicted band size: 51 kD; Observed band size: 52 kD) -
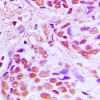
Immunohistochemical analysis of SRF staining in human breast cancer formalin fixed paraffin embedded tissue section. The section was pre-treated using heat mediated antigen retrieval with sodium citrate buffer (pH 6.0). The section was then incubated with the antibody at room temperature and detected using an HRP conjugated compact polymer system. DAB was used as the chromogen. The section was then counterstained with haematoxylin and mounted with DPX.
Gene expression profiling of preplate neurons destined for the subplate: genes involved in transcription, axon extension, neurotransmitter regulation, steroid hormone signaling, and neuronal survival
Impact of actin filament stabilization on adult hippocampal and olfactory bulb neurogenesis
Regulation of serum response factor by miRNA-200 and miRNA-9 modulates oligodendrocyte progenitor cell differentiation
Bone marrow-derived cells may not be the original cells for carcinogen-induced mouse gastrointestinal carcinomas


说明书
MSDS