产品描述:Rabbit polyclonal antibody to MKK4 (Phospho-S80)免疫原:KLH-conjugated synthetic phosphopeptide corresponding to residues surrounding S80 of human MKK4 protein. The exact sequence is proprietary.纯化方式:The antibody was purified by immunogen affinity chromatography.克隆类型:Polyclonal产品形式:Liquid in 0.42% Potassium phosphate, 0.87% Sodium chloride, pH 7.3, 30% glycerol, and 0.01% sodium azide.稀释比:WB (1/500 - 1/1000), IH (1/50 - 1/100)基因名称:MAP2K4相关名称:JNKK1; MEK4; MKK4; PRKMK4; SEK1; SERK1; SKK1; Dual specificity mitogen-activated protein kinase kinase 4; MAP kinase kinase 4; MAPKK 4; JNK-activating kinase 1; MAPK/ERK kinase 4; MEK 4; SAPK/ERK kinase 1; SEK1; Stress-activated protein kinase kinase 1; SAPK kinase 1; SAPKK-1; SAPKK1; c-Jun N-terminal kinase kinase 1; JNKK
基因编号(人):
6416;
基因编号(小鼠):
26398;
蛋白编号(人):
P45985;
蛋白编号(小鼠):
P47809;
储存效期:Shipped at 4°C. Upon delivery aliquot and store at -20°C for one year. Avoid freeze/thaw cycles.
-
Western blot analysis of MKK4 (Phospho-S80) expression in zebrafish (A) whole cell lysates. (Predicted band size: 44 kD; Observed band size: 44 kD) -
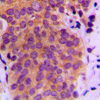
Immunohistochemical analysis of MKK4 (Phospho-S80) staining in human breast cancer formalin fixed paraffin embedded tissue section. The section was pre-treated using heat mediated antigen retrieval with sodium citrate buffer (pH 6.0). The section was then incubated with the antibody at room temperature and detected using an HRP conjugated compact polymer system. DAB was used as the chromogen. The section was then counterstained with haematoxylin and mounted with DPX.
Negative regulation of SEK1 signaling by serum- and glucocorticoid-inducible protein kinase 1


说明书
MSDS