产品描述:Rabbit polyclonal antibody to RAR beta免疫原:KLH-conjugated synthetic peptide encompassing a sequence within the C-term region of human RAR beta. The exact sequence is proprietary.纯化方式:The antibody was purified by immunogen affinity chromatography.克隆类型:Polyclonal产品形式:Liquid in 0.42% Potassium phosphate, 0.87% Sodium chloride, pH 7.3, 30% glycerol, and 0.01% sodium azide.稀释比:WB (1/500 - 1/1000), IH (1/50 - 1/100), IP (1/10 - 1/100)基因名称:RARB相关名称:HAP; NR1B2; Retinoic acid receptor beta; RAR-beta; HBV-activated protein; Nuclear receptor subfamily 1 group B member 2; RAR-epsilon
基因编号(人):
5915;
基因编号(小鼠):
218772;
蛋白编号(人):
P10826;
蛋白编号(小鼠):
P22605;
储存效期:Shipped at 4°C. Upon delivery aliquot and store at -20°C for one year. Avoid freeze/thaw cycles.
-
Western blot analysis of RAR beta expression in SKOVCAR3 (A), MCF7 (B), C6 (C), CT26 (D) whole cell lysates. (Predicted band size: 50 kD; Observed band size: 50 kD) -
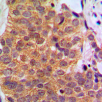
Immunohistochemical analysis of RAR beta staining in human breast cancer formalin fixed paraffin embedded tissue section. The section was pre-treated using heat mediated antigen retrieval with sodium citrate buffer (pH 6.0). The section was then incubated with the antibody at room temperature and detected using an HRP conjugated compact polymer system. DAB was used as the chromogen. The section was then counterstained with haematoxylin and mounted with DPX.
SIRT1 Suppresses beta-Amyloid Production by Activating the alpha-Secretase Gene ADAM10
Retinoic acid signaling and the initiation of mammary gland development
Intrauterine growth restriction transiently delays alveolar formation and disrupts retinoic acid receptor expression in the lung of female rat pups
DNA methylation and gene deletion analysis of brain metastases in melanoma patients identifies mutually exclusive molecular alterations


说明书
MSDS