产品描述:Rabbit polyclonal antibody to RAN免疫原:KLH-conjugated synthetic peptide encompassing a sequence within the C-term region of human RAN. The exact sequence is proprietary.纯化方式:The antibody was purified by immunogen affinity chromatography.克隆类型:Polyclonal产品形式:Liquid in 0.42% Potassium phosphate, 0.87% Sodium chloride, pH 7.3, 30% glycerol, and 0.01% sodium azide.稀释比:WB (1/500 - 1/1000), IH (1/100 - 1/200)基因名称:RAN相关名称:ARA24; GTP-binding nuclear protein Ran; Androgen receptor-associated protein 24; GTPase Ran; Ras-like protein TC4; Ras-related nuclear protein
基因编号(人):
5901;
基因编号(小鼠):
102641332;
19384;
基因编号(大鼠):
84509;
蛋白编号(人):
P62826;
蛋白编号(小鼠):
P62827;
蛋白编号(大鼠):
P62828;
储存效期:Shipped at 4°C. Upon delivery aliquot and store at -20°C for one year. Avoid freeze/thaw cycles.
-
Western blot analysis of RAN expression in LOVO (A), Jurkat (B), U2OS (C), mouse lung (D), mouse testis (E), rat lung (F), rat testis (G) whole cell lysates. (Predicted band size: 24 kD; Observed band size: 24 kD) -
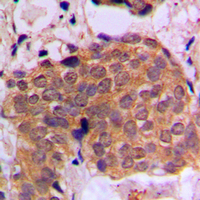
Immunohistochemical analysis of RAN staining in human breast cancer formalin fixed paraffin embedded tissue section. The section was pre-treated using heat mediated antigen retrieval with sodium citrate buffer (pH 6.0). The section was then incubated with the antibody at room temperature and detected using an HRP conjugated compact polymer system. DAB was used as the chromogen. The section was then counterstained with haematoxylin and mounted with DPX.
{beta},{beta}-Carotene Decreases Peroxisome Proliferator Receptor {gamma} Activity and Reduces Lipid Storage Capacity of Adipocytes in a {beta},{beta}-Carotene Oxygenase 1-dependent Manner
A mitochondrial enzyme degrades carotenoids and protects against oxidative stress
Genetic and molecular insights into the role of PROX1 in glucose metabolism
Reduced RAN expression and disrupted transport between cytoplasm and nucleus; a key event in Alzheimer's disease pathophysiology


说明书
MSDS