产品描述:Rabbit polyclonal antibody to Focal Adhesion Kinase (Phospho-Y861)免疫原:KLH-conjugated synthetic phosphopeptide corresponding to residues surrounding Y861 of human Focal Adhesion Kinase protein. The exact sequence is proprietary.纯化方式:The antibody was purified by immunogen affinity chromatography.克隆类型:Polyclonal产品形式:Liquid in 0.42% Potassium phosphate, 0.87% Sodium chloride, pH 7.3, 30% glycerol, and 0.01% sodium azide.稀释比:WB (1/500 - 1/1000), IH (1/50 - 1/100)基因名称:PTK2相关名称:FAK; FAK1; Focal adhesion kinase 1; FADK 1; Focal adhesion kinase-related nonkinase; FRNK; Protein phosphatase 1 regulatory subunit 71; PPP1R71; Protein-tyrosine kinase 2; p125FAK; pp125FAK
基因编号(人):
5747;
蛋白编号(人):
Q05397;
储存效期:Shipped at 4°C. Upon delivery aliquot and store at -20°C for one year. Avoid freeze/thaw cycles.
-
Western blot analysis of Focal Adhesion Kinase (Phospho-Y861) expression in mouse kidney (A), rat kidney (B) whole cell lysates. (Predicted band size: 119; 99; 63; 48; 120; 39; 114 kD; Observed band size: 100 kD) -
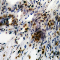
Immunohistochemical analysis of Focal Adhesion Kinase (Phospho-Y861) staining in human kidney cancer formalin fixed paraffin embedded tissue section. The section was pre-treated using heat mediated antigen retrieval with sodium citrate buffer (pH 6.0). The section was then incubated with the antibody at room temperature and detected using an HRP conjugated compact polymer system. DAB was used as the chromogen. The section was then counterstained with haematoxylin and mounted with DPX.


说明书
MSDS