产品描述:Rabbit polyclonal antibody to Patched免疫原:KLH-conjugated synthetic peptide encompassing a sequence within the N-term region of human Patched. The exact sequence is proprietary.纯化方式:The antibody was purified by immunogen affinity chromatography.克隆类型:Polyclonal产品形式:Liquid in 0.42% Potassium phosphate, 0.87% Sodium chloride, pH 7.3, 30% glycerol, and 0.01% sodium azide.稀释比:WB (1/500 - 1/1000), IH (1/50 - 1/100)基因名称:PTCH1相关名称:PTCH; Protein patched homolog 1; PTC; PTC1
基因编号(人):
5727;
基因编号(小鼠):
19206;
蛋白编号(人):
Q13635;
蛋白编号(小鼠):
Q61115;
储存效期:Shipped at 4°C. Upon delivery aliquot and store at -20°C for one year. Avoid freeze/thaw cycles.
-
Western blot analysis of Patched expression in HeLa (A), Ramos (B), MCF7 (C), NIH3T3 (D), PC12 (E) whole cell lysates. (Predicted band size: 160 kD; Observed band size: 160 kD) -
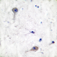
Immunohistochemical analysis of Patched staining in human brain formalin fixed paraffin embedded tissue section. The section was pre-treated using heat mediated antigen retrieval with sodium citrate buffer (pH 6.0). The section was then incubated with the antibody at room temperature and detected using an HRP conjugated compact polymer system. DAB was used as the chromogen. The section was then counterstained with haematoxylin and mounted with DPX.
Sonic Hedgehog induces Notch target gene expression in vascular smooth muscle cells via VEGF-A
AICD Overexpression in Neuro 2A Cells Regulates Expression of PTCH1 and TRPC5
Subcellular localization of Patched and Smoothened, the receptors for Sonic hedgehog signaling, in the hippocampal neuron
Fuz Regulates Craniofacial Development through Tissue Specific Responses to Signaling Factors
Hedgehog related protein expression in breast cancer: gli-2 is associated with poor overall survival


说明书
MSDS