产品描述:Rabbit polyclonal antibody to JNK1/2/3 (Phospho-T183)免疫原:KLH-conjugated synthetic phosphopeptide corresponding to residues surrounding T183 of human JNK1/2/3 protein. The exact sequence is proprietary.纯化方式:The antibody was purified by immunogen affinity chromatography.克隆类型:Polyclonal产品形式:Liquid in 0.42% Potassium phosphate, 0.87% Sodium chloride, pH 7.3, 30% glycerol, and 0.01% sodium azide.稀释比:WB (1/500 - 1/1000), IH (1/100 - 1/200), IF/IC (1/100 - 1/500)基因名称:MAPK8; MAPK9; MAPK10相关名称:MAPK8; JNK1; PRKM8; SAPK1; SAPK1C; Mitogen-activated protein kinase 8; MAP kinase 8; JNK-46; Stress-activated protein kinase 1c; SAPK1c; Stress-activated protein kinase JNK1; c-Jun N-terminal kinase 1; MAPK9; JNK2; PRKM9; SAPK1A; Mitogen-activated protein kinase 9; MAP kinase 9; JNK-55; Stress-activated protein kinase 1a; SAPK1a; Stress-activated protein kinase JNK2; c-Jun N-terminal kinase 2; MAPK10; JNK3; JNK3A; PRKM10; SAPK1B; Mitogen-activated protein kinase 10; MAP kinase 10; MAP kinase p49 3F12; Stress-activated protein kinase 1b; SAPK1b; Stress-activated protein kinase JNK3; c-Jun N-terminal kinase 3
基因编号(人):
5599;
5601;
5602;
基因编号(小鼠):
26419;
26420;
基因编号(大鼠):
116554;
50658;
25272;
蛋白编号(人):
P45983;
P45984;
P53779;
蛋白编号(小鼠):
Q91Y86;
Q9WTU6;
Q61831;
蛋白编号(大鼠):
P49185;
P49186;
P49187;
储存效期:Shipped at 4°C. Upon delivery aliquot and store at -20°C for one year. Avoid freeze/thaw cycles.
-
Western blot analysis of JNK1/2/3 (Phospho-T183) expression in HCT116 (A), MCF7 (B), A549 (C), rat brain (D), C6 (E) whole cell lysates. (Predicted band size: 48; 48; 52 kD; Observed band size: 46; 54 kD) -
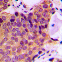
Immunohistochemical analysis of JNK1/2/3 (Phospho-T183) staining in human breast cancer formalin fixed paraffin embedded tissue section. The section was pre-treated using heat mediated antigen retrieval with sodium citrate buffer (pH 6.0). The section was then incubated with the antibody at room temperature and detected using an HRP conjugated compact polymer system. DAB was used as the chromogen. The section was then counterstained with haematoxylin and mounted with DPX. -
Immunofluorescent analysis of JNK1/2/3 (Phospho-T183) staining in NIH3T3 cells. Formalin-fixed cells were permeabilized with 0.1% Triton X-100 in TBS for 5-10 minutes and blocked with 3% BSA-PBS for 30 minutes at room temperature. Cells were probed with the primary antibody in 3% BSA-PBS and incubated overnight at 4 °C in a humidified chamber. Cells were washed with PBST and incubated with a DyLight 594-conjugated secondary antibody (red) in PBS at room temperature in the dark. -
Direct ELISA antibody dose-response curve using Anti-JNK1/2/3 (Phospho-T183) Antibody. Antigen (Phosphopeptide and non-phosphopeptide) concentration is 5 ug/ml. Goat Anti-Rabbit IgG (H&L) - HRP was used as the secondary antibody, and signal was developed by TMB substrate.
Inflammatory cardiac valvulitis in TAX1BP1-deficient mice through selective NF-kappaB activation
Growth cone MKK7 mRNA targeting regulates MAP1b-dependent microtubule bundling to control neurite elongation
Bergamottin protects against LPS-induced endotoxic shock by regulating the NF-κB signaling pathway
ML365 inhibits lipopolysaccharide-induced inflammatory responses via the NF-κB signaling pathway
Smilax china L. Rhizome extract enhances anti-tumor immune responses by resetting M2-like macrophages and tumor-associated macrophages to M1-like via ERK1/2 signaling
The Polarization of Macrophages Regulated by KCNG3 via the Activation of ASK1 Mediated by Potassium Ion Efflux


说明书
MSDS