产品描述:Rabbit polyclonal antibody to TRAP220免疫原:KLH-conjugated synthetic peptide encompassing a sequence within the center region of human TRAP220. The exact sequence is proprietary.纯化方式:The antibody was purified by immunogen affinity chromatography.克隆类型:Polyclonal产品形式:Liquid in 0.42% Potassium phosphate, 0.87% Sodium chloride, pH 7.3, 30% glycerol, and 0.01% sodium azide.稀释比:WB (1/500 - 1/1000), IH (1/100 - 1/200), IF/IC (1/100 - 1/500)基因名称:MED1相关名称:ARC205; CRSP1; CRSP200; DRIP205; DRIP230; PBP; PPARBP; PPARGBP; RB18A; TRAP220; TRIP2; Mediator of RNA polymerase II transcription subunit 1; Activator-recruited cofactor 205 kDa component; ARC205; Mediator complex subunit 1; Peroxisome proliferator-activated receptor-binding protein; PBP; PPAR-binding protein; Thyroid hormone receptor-associated protein complex 220 kDa component; Trap220; Thyroid receptor-interacting protein 2; TR-interacting protein 2; TRIP-2; Vitamin D receptor-interacting protein complex component DRIP205; p53 regulatory protein RB18A
基因编号(人):
5469;
基因编号(小鼠):
19014;
蛋白编号(人):
Q15648;
蛋白编号(小鼠):
Q925J9;
储存效期:Shipped at 4°C. Upon delivery aliquot and store at -20°C for one year. Avoid freeze/thaw cycles.
-
Western blot analysis of TRAP220 expression in H446 (A) whole cell lysates. (Predicted band size: 168 kD; Observed band size: 220 kD) -
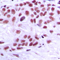
Immunohistochemical analysis of TRAP220 staining in human breast cancer formalin fixed paraffin embedded tissue section. The section was pre-treated using heat mediated antigen retrieval with sodium citrate buffer (pH 6.0). The section was then incubated with the antibody at room temperature and detected using an HRP conjugated compact polymer system. DAB was used as the chromogen. The section was then counterstained with haematoxylin and mounted with DPX. -
Immunofluorescent analysis of TRAP220 staining in HuvEc cells. Formalin-fixed cells were permeabilized with 0.1% Triton X-100 in TBS for 5-10 minutes and blocked with 3% BSA-PBS for 30 minutes at room temperature. Cells were probed with the primary antibody in 3% BSA-PBS and incubated overnight at 4 °C in a humidified chamber. Cells were washed with PBST and incubated with a DyLight 594-conjugated secondary antibody (red) in PBS at room temperature in the dark.
MiR-205 silences MED1 in hypoxic primary human trophoblasts
Phosphorylation-dependent regulation of PSF by GSK3 controls CD45 alternative splicing
Androgen-induced activation of gonadotropin-regulated testicular RNA helicase (GRTH/Ddx25) transcription: essential role of a nonclassical androgen response element half-site
Epigenetic-induced repression of microRNA-205 is associated with MED1 activation and a poorer prognosis in localized prostate cancer


说明书
MSDS