产品描述:Rabbit polyclonal antibody to PML免疫原:KLH-conjugated synthetic peptide encompassing a sequence within the N-term region of human PML. The exact sequence is proprietary.纯化方式:The antibody was purified by immunogen affinity chromatography.克隆类型:Polyclonal产品形式:Liquid in 0.42% Potassium phosphate, 0.87% Sodium chloride, pH 7.3, 30% glycerol, and 0.01% sodium azide.稀释比:WB (1/500 - 1/1000), IH (1/50 - 1/100), IF/IC (1/50 - 1/200), ChIP (1/10 - 1/100)基因名称:PML相关名称:MYL; PP8675; RNF71; TRIM19; Protein PML; Promyelocytic leukemia protein; RING finger protein 71; Tripartite motif-containing protein 19
基因编号(人):
5371;
蛋白编号(人):
P29590;
储存效期:Shipped at 4°C. Upon delivery aliquot and store at -20°C for one year. Avoid freeze/thaw cycles.
-
Western blot analysis of PML expression in LO2 (A), HEK239T (B) whole cell lysates. (Predicted band size: 97 kD; Observed band size: 97 kD) -
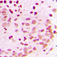
Immunohistochemical analysis of PML staining in human breast cancer formalin fixed paraffin embedded tissue section. The section was pre-treated using heat mediated antigen retrieval with sodium citrate buffer (pH 6.0). The section was then incubated with the antibody at room temperature and detected using an HRP conjugated compact polymer system. DAB was used as the chromogen. The section was then counterstained with haematoxylin and mounted with DPX. -
Immunofluorescent analysis of PML staining in COLO320 cells. Formalin-fixed cells were permeabilized with 0.1% Triton X-100 in TBS for 5-10 minutes and blocked with 3% BSA-PBS for 30 minutes at room temperature. Cells were probed with the primary antibody in 3% BSA-PBS and incubated overnight at 4 °C in a humidified chamber. Cells were washed with PBST and incubated with a DyLight 594-conjugated secondary antibody (red) in PBS at room temperature in the dark.
Efficient quiescent infection of normal human diploid fibroblasts with wild-type herpes simplex virus type 1
From the Cover: Biophotonic probing of macromolecular transformations during apoptosis
Alternative lengthening of telomeres-An enhanced chromosomal instability in aggressive non-MYCN amplified and telomere elongated neuroblastomas
Opposing effects of bacitracin on human papillomavirus type 16 infection: enhancement of binding and entry and inhibition of endosomal penetration
FTO levels affect RNA modification and the transcriptome
A transmembrane domain and GxxxG motifs within L2 are essential for papillomavirus infection
DAXX-dependent supply of soluble (H3.3-H4) dimers to PML bodies pending deposition into chromatin
Human sarcomas are mosaic for telomerase-dependent and telomerase-independent telomere maintenance mechanisms: implications for telomere-based therapies
Promyelocytic leukemia (PML) protein plays important roles in regulating cell adhesion, morphology, proliferation and migration
Human PPP1R26P1 functions as cis-repressive element in mouse Rb1
Association of BLM and BRCA1 during Telomere Maintenance in ALT Cells


说明书
MSDS