产品描述:Rabbit polyclonal antibody to Lamin B1免疫原:KLH-conjugated synthetic peptide encompassing a sequence within the N-term region of human Lamin B1. The exact sequence is proprietary.纯化方式:The antibody was purified by immunogen affinity chromatography.克隆类型:Polyclonal产品形式:Liquid in 0.42% Potassium phosphate, 0.87% Sodium chloride, pH 7.3, 30% glycerol, and 0.01% sodium azide.稀释比:WB (1/500 - 1/1000), IH (1/100 - 1/200)基因名称:LMNB1相关名称:LMN2; LMNB; Lamin-B1
基因编号(人):
4001;
基因编号(小鼠):
16906;
基因编号(大鼠):
116685;
蛋白编号(人):
P20700;
蛋白编号(小鼠):
P14733;
蛋白编号(大鼠):
P70615;
储存效期:Shipped at 4°C. Upon delivery aliquot and store at -20°C for one year. Avoid freeze/thaw cycles.
-
Western blot analysis of Lamin B1 expression in 293T (A), Hela (B), K562 (C), mouse brain (D), mouse liver (E), rat brain (F), rat liver (G) whole cell lysates. (Predicted band size: 66 kD; Observed band size: 66-70 kD) -
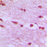
Immunohistochemical analysis of Lamin B1 staining in human brain formalin fixed paraffin embedded tissue section. The section was pre-treated using heat mediated antigen retrieval with sodium citrate buffer (pH 6.0). The section was then incubated with the antibody at room temperature and detected using an HRP conjugated compact polymer system. DAB was used as the chromogen. The section was then counterstained with haematoxylin and mounted with DPX.
The Capsid Protein of Nervous Necrosis Virus Antagonizes Host Type I IFN Production by a Dual Strategy to Negatively Regulate Retinoic Acid–Inducible Gene-I–like Receptor Pathways
TGF-β3 Protects Neurons Against Intermittent Hypoxia-Induced Oxidative Stress and Apoptosis Through Activation of the Nrf-2/KEAP1/HO-1 Pathway via Binding to TGF-βRI
Ring Finger Protein 34 Facilitates Nervous Necrosis Virus Evasion of Antiviral Innate Immunity by Targeting TBK1 and IRF3 for Ubiquitination and Degradation in Teleost Fish
Upregulated expression of ubiquitin ligase TRIM21 promotes PKM2 nuclear translocation and astrocyte activation in experimental autoimmune encephalomyelitis
ENKD1modulates innate immune responses through enhanced geranylgeranyl pyrophosphate synthase activity


说明书
MSDS