产品描述:Rabbit polyclonal antibody to LIMK1/2 (Phospho-T508/505)免疫原:KLH-conjugated synthetic phosphopeptide corresponding to residues surrounding T508/505 of human LIMK1/2 protein. The exact sequence is proprietary.纯化方式:The antibody was purified by immunogen affinity chromatography.克隆类型:Polyclonal产品形式:Liquid in 0.42% Potassium phosphate, 0.87% Sodium chloride, pH 7.3, 30% glycerol, and 0.01% sodium azide.稀释比:WB (1/500 - 1/1000), IH (1/100 - 1/200), IF/IC (1/100 - 1/500)基因名称:LIMK1; LIMK2相关名称:LIMK; LIM domain kinase 1; LIMK-1
基因编号(人):
3984;
蛋白编号(人):
P53667;
蛋白编号(大鼠):
P53669;
储存效期:Shipped at 4°C. Upon delivery aliquot and store at -20°C for one year. Avoid freeze/thaw cycles.
-
Western blot analysis of LIMK1/2 (Phospho-T508/505) expression in rat brain (A), HEK293T-PMA-15min (B), HEK293T-PMA-5min (C), HEK293T (D) whole cell lysates. (Predicted band size: 72 kD; Observed band size: 72 kD) -
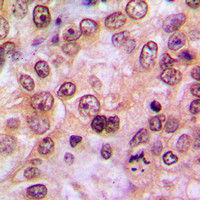
Immunohistochemical analysis of LIMK1/2 (Phospho-T508/505) staining in human breast cancer formalin fixed paraffin embedded tissue section. The section was pre-treated using heat mediated antigen retrieval with sodium citrate buffer (pH 6.0). The section was then incubated with the antibody at room temperature and detected using an HRP conjugated compact polymer system. DAB was used as the chromogen. The section was then counterstained with haematoxylin and mounted with DPX. -
Immunofluorescent analysis of LIMK1/2 (Phospho-T508/505) staining in PC12 cells. Formalin-fixed cells were permeabilized with 0.1% Triton X-100 in TBS for 5-10 minutes and blocked with 3% BSA-PBS for 30 minutes at room temperature. Cells were probed with the primary antibody in 3% BSA-PBS and incubated overnight at 4 °C in a humidified chamber. Cells were washed with PBST and incubated with a DyLight 594-conjugated secondary antibody (red) in PBS at room temperature in the dark.
Neuronal Nogo-A Modulates Growth Cone Motility via Rho-GTP/LIMK1/Cofilin in the Unlesioned Adult Nervous System
A role for RhoB in synaptic plasticity and the regulation of neuronal morphology
Myocardin-related transcription factors regulate the Cdk5/Pctaire1 kinase cascade to control neurite outgrowth, neuronal migration and brain development
Flotillin-mediated endocytic events dictate cell type-specific responses to semaphorin 3A
Neuritogenesis: the prion protein controls ß1 integrin signaling activity
Cells lacking ß-actin are genetically reprogrammed and maintain conditional migratory capacity
LIM kinase regulation of cytoskeletal dynamics is required for salivary gland branching morphogenesis


说明书
MSDS