产品描述:Rabbit polyclonal antibody to Histone H2A.X免疫原:KLH-conjugated synthetic peptide encompassing a sequence within the C-term region of human Histone H2A.X. The exact sequence is proprietary.纯化方式:The antibody was purified by immunogen affinity chromatography.克隆类型:Polyclonal产品形式:Liquid in 0.42% Potassium phosphate, 0.87% Sodium chloride, pH 7.3, 30% glycerol, and 0.01% sodium azide.稀释比:WB (1/500 - 1/1000), IH (1/50 - 1/100), IF/IC (1/50 - 1/200), ChIP (1/10 - 1/100)基因名称:H2AFX相关名称:H2AX; Histone H2AX; H2a/x; Histone H2A.X
基因编号(人):
3014;
蛋白编号(人):
P16104;
储存效期:Shipped at 4°C. Upon delivery aliquot and store at -20°C for one year. Avoid freeze/thaw cycles.
-
Western blot analysis of Histone H2A.X expression in HEK293T (A), Hela (B), mouse testis (C), rat lung (D), rat testis (E) whole cell lysates. (Predicted band size: 15 kD; Observed band size: 15 kD) -
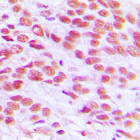
Immunohistochemical analysis of Histone H2A.X staining in human breast cancer formalin fixed paraffin embedded tissue section. The section was pre-treated using heat mediated antigen retrieval with sodium citrate buffer (pH 6.0). The section was then incubated with the antibody at room temperature and detected using an HRP conjugated compact polymer system. DAB was used as the chromogen. The section was then counterstained with haematoxylin and mounted with DPX. -
Immunofluorescent analysis of Histone H2A.X staining in MCF7 cells. Formalin-fixed cells were permeabilized with 0.1% Triton X-100 in TBS for 5-10 minutes and blocked with 3% BSA-PBS for 30 minutes at room temperature. Cells were probed with the primary antibody in 3% BSA-PBS and incubated overnight at 4 °C in a humidified chamber. Cells were washed with PBST and incubated with a DyLight 594-conjugated secondary antibody (red) in PBS at room temperature in the dark.


说明书
MSDS