产品描述:Rabbit polyclonal antibody to mTOR免疫原:KLH-conjugated synthetic peptide encompassing a sequence within the C-term region of human mTOR. The exact sequence is proprietary.纯化方式:The antibody was purified by immunogen affinity chromatography.克隆类型:Polyclonal产品形式:Liquid in 0.42% Potassium phosphate, 0.87% Sodium chloride, pH 7.3, 30% glycerol, and 0.01% sodium azide.稀释比:WB (1/500 - 1/1000), IH (1/50 - 1/100), IF/IC (1/50 - 1/200)基因名称:MTOR相关名称:FRAP; FRAP1; FRAP2; RAFT1; RAPT1; Serine/threonine-protein kinase mTOR; FK506-binding protein 12-rapamycin complex-associated protein 1; FKBP12-rapamycin complex-associated protein; Mammalian target of rapamycin; mTOR; Mechanistic target of rapamycin; Rapamycin and FKBP12 target 1; Rapamycin target protein 1
基因编号(人):
2475;
基因编号(小鼠):
56717;
基因编号(大鼠):
56718;
蛋白编号(人):
P42345;
蛋白编号(小鼠):
Q9JLN9;
蛋白编号(大鼠):
P42346;
储存效期:Shipped at 4°C. Upon delivery aliquot and store at -20°C for one year. Avoid freeze/thaw cycles.
-
Western blot analysis of mTOR expression in HepG2 (A), MCF7 (B), H9C2 (C), AML12 (D) whole cell lysates. (Predicted band size: 288 kD; Observed band size: 289 kD) -
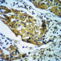
Immunohistochemical analysis of mTOR staining in human breast cancer formalin fixed paraffin embedded tissue section. The section was pre-treated using heat mediated antigen retrieval with sodium citrate buffer (pH 6.0). The section was then incubated with the antibody at room temperature and detected using an HRP conjugated compact polymer system. DAB was used as the chromogen. The section was then counterstained with haematoxylin and mounted with DPX. -
Immunofluorescent analysis of mTOR staining in MCF7 cells. Formalin-fixed cells were permeabilized with 0.1% Triton X-100 in TBS for 5-10 minutes and blocked with 3% BSA-PBS for 30 minutes at room temperature. Cells were probed with the primary antibody in 3% BSA-PBS and incubated overnight at 4 °C in a humidified chamber. Cells were washed with PBST and incubated with a DyLight 594-conjugated secondary antibody (red) in PBS at room temperature in the dark.
Targeted inhibition of mammalian target of rapamycin signaling inhibits tumorigenesis of colorectal cancer
Ewing tumors that do not overexpress BMI-1 are a distinct molecular subclass with variant biology: a report from the Children's Oncology Group
The frontal cortex IGF system is down regulated in the term, intrauterine growth restricted fetal baboon


说明书
MSDS