产品描述:Rabbit polyclonal antibody to Filamin A免疫原:KLH-conjugated synthetic peptide encompassing a sequence within the C-term region of human Filamin A. The exact sequence is proprietary.纯化方式:The antibody was purified by immunogen affinity chromatography.克隆类型:Polyclonal产品形式:Liquid in 0.42% Potassium phosphate, 0.87% Sodium chloride, pH 7.3, 30% glycerol, and 0.01% sodium azide.稀释比:WB (1/500 - 1/1000), IH (1/100 - 1/200), IP (1/10 - 1/100)基因名称:FLNA相关名称:FLN; FLN1; Filamin-A; FLN-A; Actin-binding protein 280; ABP-280; Alpha-filamin; Endothelial actin-binding protein; Filamin-1; Non-muscle filamin
基因编号(人):
2316;
基因编号(小鼠):
192176;
蛋白编号(人):
P21333;
蛋白编号(小鼠):
Q8BTM8;
储存效期:Shipped at 4°C. Upon delivery aliquot and store at -20°C for one year. Avoid freeze/thaw cycles.
-
Western blot analysis of Filamin A expression in HEK293T (A), SP2/0 (B), rat heart (C) whole cell lysates. (Predicted band size: 280 kD; Observed band size: 300 kD) -
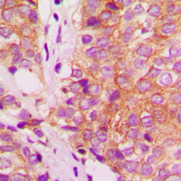
Immunohistochemical analysis of Filamin A staining in human breast cancer formalin fixed paraffin embedded tissue section. The section was pre-treated using heat mediated antigen retrieval with sodium citrate buffer (pH 6.0). The section was then incubated with the antibody at room temperature and detected using an HRP conjugated compact polymer system. DAB was used as the chromogen. The section was then counterstained with haematoxylin and mounted with DPX.
Filamin A is a phosphorylation target of membrane but not cytosolic adenylyl cyclase activity
Filamin a protein interacts with human immunodeficiency virus type 1 gag protein and contributes to productive particle assembly
Enhancing the effectiveness of androgen deprivation in prostate cancer by inducing Filamin A nuclear localization
RSK2 Protein Suppresses Integrin Activation and Fibronectin Matrix Assembly and Promotes Cell Migration
Filamin-interacting proteins, Cfm1 and Cfm2, are essential for the formation of cartilaginous skeletal elements


说明书
MSDS