产品描述:Rabbit polyclonal antibody to FOXO1免疫原:KLH-conjugated synthetic peptide encompassing a sequence within the center region of human FOXO1. The exact sequence is proprietary.纯化方式:The antibody was purified by immunogen affinity chromatography.克隆类型:Polyclonal产品形式:Liquid in 0.42% Potassium phosphate, 0.87% Sodium chloride, pH 7.3, 30% glycerol, and 0.01% sodium azide.稀释比:WB (1/500 - 1/1000), IH (1/100 - 1/200), IF/IC (1/100 - 1/500), ChIP (Use at an assay dependent concentration)基因名称:FOXO1相关名称:FKHR; FOXO1A; Forkhead box protein O1; Forkhead box protein O1A; Forkhead in rhabdomyosarcoma
基因编号(人):
2308;
蛋白编号(人):
Q12778;
储存效期:Shipped at 4°C. Upon delivery aliquot and store at -20°C for one year. Avoid freeze/thaw cycles.
-
Western blot analysis of FOXO1 expression in BV2 (A), C6 (B), H1792 (C), HEK293T (D) whole cell lysates. (Predicted band size: 69 kD; Observed band size: 78 kD) -
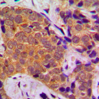
Immunohistochemical analysis of FOXO1 staining in human breast cancer formalin fixed paraffin embedded tissue section. The section was pre-treated using heat mediated antigen retrieval with sodium citrate buffer (pH 6.0). The section was then incubated with the antibody at room temperature and detected using an HRP conjugated compact polymer system. DAB was used as the chromogen. The section was then counterstained with haematoxylin and mounted with DPX. -
Immunofluorescent analysis of FOXO1 staining in MCF7 cells. Formalin-fixed cells were permeabilized with 0.1% Triton X-100 in TBS for 5-10 minutes and blocked with 3% BSA-PBS for 30 minutes at room temperature. Cells were probed with the primary antibody in 3% BSA-PBS and incubated overnight at 4 °C in a humidified chamber. Cells were washed with PBST and incubated with a DyLight 594-conjugated secondary antibody (red) in PBS at room temperature in the dark.
Akt Regulates the Survival of Vascular Smooth Muscle Cells via Inhibition of FoxO3a and GSK3
A FOXO-Pak1 transcriptional pathway controls neuronal polarity
Foxo proteins cooperatively control the differentiation of Foxp3+ regulatory T cells
Intersection of FOXO- and RUNX1-mediated gene expression programs in single breast epithelial cells during morphogenesis and tumor progression
CD81 is essential for the re-entry of hematopoietic stem cells to quiescence following stress-induced proliferation via deactivation of the Akt pathway
Novel Foxo1-dependent transcriptional programs control T(reg) cell function
FOXO1 competes with carbohydrate response element-binding protein (ChREBP) and inhibits thioredoxin-interacting protein (TXNIP) transcription in pancreatic beta cells
High cytoplasmic FOXO1 and pFOXO1 expression in astrocytomas are associated with worse surgical outcome
The E3 ubiquitin ligase Itch is required for the differentiation of follicular helper T cells


说明书
MSDS