产品描述:Rabbit polyclonal antibody to E2F2免疫原:KLH-conjugated synthetic peptide encompassing a sequence within the center region of human E2F2. The exact sequence is proprietary.纯化方式:The antibody was purified by immunogen affinity chromatography.克隆类型:Polyclonal产品形式:Liquid in 0.42% Potassium phosphate, 0.87% Sodium chloride, pH 7.3, 30% glycerol, and 0.01% sodium azide.稀释比:WB (1/500 - 1/1000), IH (1/50 - 1/100), ChIP (1/10 - 1/100)基因名称:E2F2相关名称:Transcription factor E2F2; E2F-2
基因编号(人):
1870;
蛋白编号(人):
Q14209;
储存效期:Shipped at 4°C. Upon delivery aliquot and store at -20°C for one year. Avoid freeze/thaw cycles.
-
Western blot analysis of E2F2 expression in A431 (A), Jurkat (B) whole cell lysates. (Predicted band size: 47 kD; Observed band size: 48 kD) -
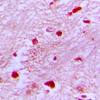
Immunohistochemical analysis of E2F2 staining in human brain formalin fixed paraffin embedded tissue section. The section was pre-treated using heat mediated antigen retrieval with sodium citrate buffer (pH 6.0). The section was then incubated with the antibody at room temperature and detected using an HRP conjugated compact polymer system. DAB was used as the chromogen. The section was then counterstained with haematoxylin and mounted with DPX.
Human parvovirus B19 causes cell cycle arrest of human erythroid progenitors via deregulation of the E2F family of transcription factors
Inhibition of Plk1 and Cyclin B1 expression results in panobinostat-induced G2 delay and mitotic defects


说明书
MSDS