产品描述:Rabbit polyclonal antibody to p15 INK4b免疫原:KLH-conjugated synthetic peptide encompassing a sequence within the C-term region of human p15 INK4b. The exact sequence is proprietary.纯化方式:The antibody was purified by immunogen affinity chromatography.克隆类型:Polyclonal产品形式:Liquid in 0.42% Potassium phosphate, 0.87% Sodium chloride, pH 7.3, 30% glycerol, and 0.01% sodium azide.稀释比:WB (1/500 - 1/1000), IH (1/50 - 1/100), IF/IC (1/50 - 1/200), IP (1/10 - 1/100)基因名称:CDKN2B相关名称:MTS2; Cyclin-dependent kinase 4 inhibitor B; Multiple tumor suppressor 2; MTS-2; p14-INK4b; p15-INK4b; p15INK4B
基因编号(人):
1030;
基因编号(小鼠):
12579;
基因编号(大鼠):
25164;
蛋白编号(人):
P42772;
蛋白编号(小鼠):
P55271;
蛋白编号(大鼠):
P55272;
储存效期:Shipped at 4°C. Upon delivery aliquot and store at -20°C for one year. Avoid freeze/thaw cycles.
-
Western blot analysis of p15 INK4b expression in HEK293T (A), Hela (B), mouse liver (C) whole cell lysates. (Predicted band size: 14 kD; Observed band size: 15 kD) -
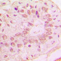
Immunohistochemical analysis of p15 INK4b staining in human lung cancer formalin fixed paraffin embedded tissue section. The section was pre-treated using heat mediated antigen retrieval with sodium citrate buffer (pH 6.0). The section was then incubated with the antibody at room temperature and detected using an HRP conjugated compact polymer system. DAB was used as the chromogen. The section was then counterstained with haematoxylin and mounted with DPX. -
Immunofluorescent analysis of p15 INK4b staining in A549 cells. Formalin-fixed cells were permeabilized with 0.1% Triton X-100 in TBS for 5-10 minutes and blocked with 3% BSA-PBS for 30 minutes at room temperature. Cells were probed with the primary antibody in 3% BSA-PBS and incubated overnight at 4 °C in a humidified chamber. Cells were washed with PBST and incubated with a DyLight 594-conjugated secondary antibody (red) in PBS at room temperature in the dark. DAPI was used to stain the cell nuclei (blue).
Functional analyses of coronary artery disease associated variation on chromosome 9p21 in vascular smooth muscle cells
Estradiol partially recapitulates murine pituitary cell cycle response to pregnancy
A KRAS-directed transcriptional silencing pathway that mediates the CpG island methylator phenotype


说明书
MSDS