产品描述:Rabbit polyclonal antibody to E Cadherin免疫原:KLH-conjugated synthetic peptide encompassing a sequence within the C-term region of human E Cadherin. The exact sequence is proprietary.纯化方式:The antibody was purified by immunogen affinity chromatography.克隆类型:Polyclonal产品形式:Liquid in 0.42% Potassium phosphate, 0.87% Sodium chloride, pH 7.3, 30% glycerol, and 0.01% sodium azide.稀释比:WB (1/500 - 1/1000), IH (1/100 - 1/200), IF/IC (1/100 - 1/500), IP (1/10 - 1/100), FC (1/100 - 1/200)基因名称:CDH1相关名称:CDHE; UVO; Cadherin-1; CAM 120/80; Epithelial cadherin; E-cadherin; Uvomorulin; CD324
基因编号(人):
999;
基因编号(小鼠):
12550;
基因编号(大鼠):
83502;
蛋白编号(人):
P12830;
蛋白编号(小鼠):
P09803;
蛋白编号(大鼠):
Q9R0T4;
储存效期:Shipped at 4°C. Upon delivery aliquot and store at -20°C for one year. Avoid freeze/thaw cycles.
-
Western blot analysis of E Cadherin expression in A375 (A), HepG2 (B), mouse brain (C), rat brain (D) whole cell lysates. (Predicted band size: 97; 99; 91; 100 kD; Observed band size: 120 kD) -
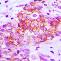
Immunohistochemical analysis of E Cadherin staining in human breast cancer formalin fixed paraffin embedded tissue section. The section was pre-treated using heat mediated antigen retrieval with sodium citrate buffer (pH 6.0). The section was then incubated with the antibody at room temperature and detected using an HRP conjugated compact polymer system. DAB was used as the chromogen. The section was then counterstained with haematoxylin and mounted with DPX. -
Immunofluorescent analysis of E Cadherin staining in PC12 cells. Formalin-fixed cells were permeabilized with 0.1% Triton X-100 in TBS for 5-10 minutes and blocked with 3% BSA-PBS for 30 minutes at room temperature. Cells were probed with the primary antibody in 3% BSA-PBS and incubated overnight at 4 °C in a humidified chamber. Cells were washed with PBST and incubated with a DyLight 594-conjugated secondary antibody (red) in PBS at room temperature in the dark. DAPI was used to stain the cell nuclei (blue). -
Immunoprecipitation of E Cadherin from 0.5mg HEK293F whole cell extract lysate, using 5ug of Anti-E Cadherin Antibody and 50ul of protein G magnetic beads (+). No antibody was added to the control (-). The antibody was incubated under agitation with Protein G beads for 10min, HEK293F whole cell extract lysate diluted in RIPA buffer was added to each sample and incubated for a further 10min under agitation. Proteins were eluted by addition of 40ul SDS loading buffer and incubated for 10min at 70°C; 10ul of each sample was separated on a SDS PAGE gel, transferred to a nitrocellulose membrane, blocked with 5% BSA and probed with Anti-E Cadherin Antibody.
Quantitative proteomics identifies myoferlin as a novel regulator of A Disintegrin and Metalloproteinase 12 in HeLa cells
Ferroptosis mediates the progression of hyperuricemic nephropathy by activating RAGE signaling
Lithospermic acid improves diabetic kidney fibrosis by regulating Piezo1/TGF-β1/Smad signaling pathway


说明书
MSDS