产品描述:Rabbit polyclonal antibody to CDC2 (Phospho-T161)免疫原:KLH-conjugated synthetic phosphopeptide corresponding to residues surrounding T161 of human CDC2 protein. The exact sequence is proprietary.纯化方式:The antibody was purified by immunogen affinity chromatography.克隆类型:Polyclonal产品形式:Liquid in 0.42% Potassium phosphate, 0.87% Sodium chloride, pH 7.3, 30% glycerol, and 0.01% sodium azide.稀释比:WB (1/500 - 1/1000), IH (1/50 - 1/100)基因名称:CDK1; CDK2相关名称:CDC2; CDC28A; CDKN1; P34CDC2; Cyclin-dependent kinase 1; CDK1; Cell division control protein 2 homolog; Cell division protein kinase 1; p34 protein kinase
基因编号(人):
983;
蛋白编号(人):
P06493;
储存效期:Shipped at 4°C. Upon delivery aliquot and store at -20°C for one year. Avoid freeze/thaw cycles.
-
Western blot analysis of CDC2 (Phospho-T161) expression in HepG2 (A) whole cell lysates. (Predicted band size: 34 kD; Observed band size: 34 kD) -
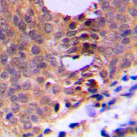
Immunohistochemical analysis of CDC2 (Phospho-T161) staining in human breast cancer formalin fixed paraffin embedded tissue section. The section was pre-treated using heat mediated antigen retrieval with sodium citrate buffer (pH 6.0). The section was then incubated with the antibody at room temperature and detected using an HRP conjugated compact polymer system. DAB was used as the chromogen. The section was then counterstained with haematoxylin and mounted with DPX. -
Direct ELISA antibody dose-response curve using Anti-CDC2 (Phospho-T161) Antibody. Antigen (Phosphopeptide and non-phosphopeptide) concentration is 5 ug/ml. Goat Anti-Rabbit IgG (H&L) - HRP was used as the secondary antibody, and signal was developed by TMB substrate.


说明书
MSDS